马志明编译
广州市胸科医院
摘要: 一些胸部疾病的胸片或CT扫描影像学表现涉及到征象、符号或自然图像。这些影像学表现大多包括充气支气管征、空气新月形征、拱廊样征、环礁征、cheerios征、铺路石征,彗星尾征、黑支气管征、甜甜圈征、蛋壳样钙化型、血管滋养征、指套征、星系征、银杏叶征、金-S征、晕征、肉皮冻征、蜂窝状征、界面征、指节状征,monod征,马赛克衰减,Oreocookie征,polo-mint征,爆米花钙化,阳性支气管征、轨道征、弯刀征、印戒征、雪暴征、日晒征、树芽征、电车轨道线征。这些联系对放射科医生和非放射科医生非常有帮助,并增加了概念的学习和同化。
因此,本图示综述目的是强调与征象、符号或自然图像可能相关的主要胸部影像学表现: 一个 “肖像” 术语用于胸部成像-并排放置在影像学特征和自然图形、符号和示意图。
关键词: 胸部;多排计算机断层扫描;胸部疾病
1.在胸部影像中,一些术语指的是符号或自然图像。
2.这些关联为相关的影像学模式提供了清晰而快速的解释。
3.对符号和/或自然图像的引用提供了要点和技巧。
2008年Fleischner协会列出了用于描述主要胸部放射学征象的影像学术语 [1]。这个分类更新了1984年和1996年以前发表的词汇表 [2,3]。词汇表提供了这些术语的一些放射学表现范例,为放射科医生提供了实用的指南。此外,词汇表文件中列出的一些术语,如环礁征或铺路石征,清楚地指的是符号或自然图像,这些联系为相关的放射学模式提供了清晰而快速的解释。人脑有不同类型的学习机制,基于个人感知、推敲和从记忆中检索信息的方式。在这方面,与符号和照片的联系代表了一系列增加学习和概念同化的要点和诀窍。因此,视觉记忆和视觉图像学习已被引入放射学语言-在大多数情况下,在影像和自然符号中所描述的CT和胸片表现之间建立了相关性。利用这些相关性,我们的大脑产生了一种与影像相联系的无意识情感,使记忆增强,并简化了学习过程。此外,对这些放射学征象的了解增加了诊断的特异性,这些影像学特征与某些胸部疾病之间存在较强的相关性。因此,这篇图示性综述的目的是提出一个胸部影像学表现的术语词汇图文版本。从A到Z字母描述的每个放射学表现提供了与符号、自然图形和照片以及示意图的相关性。
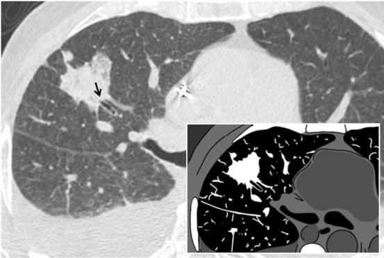
根据Fleischner学会词汇表,充气支气管征是指在周围肺实质实变区的背景下,CT图像上显示含有强低密度的含气支气管结构 (图.1) [1]。它是肺符号学的一个重要标志,早在1969 年Remy J就有文献报道 [4]。许多充满肺泡气腔的病理过程,如肺炎、水肿、梗死、肺出血、误吸、创伤,可再现充气支气管征,在胸片和CT影像上通常可以识别此种征象。心功能不全所致的肺水肿是一种病理过程,间质和肺泡水平的液体积聚,因此有可能产生充气支气管征 [5]。对于ARDS (急性呼吸窘迫综合征) 引起的水肿,充气支气管征与心脏增大无关; 水肿性实变的分布较广泛、呈斑片状,具有周围定位的倾向。在非阻塞性肺不张中,充气支气管征常位于下叶,可能与肺容积减少有关。对于未吸收感染性实变所表现为空气气支气管的病例,即在抗生素治疗数周后,可考虑疑似鳞屑样肺腺癌或肺淋巴瘤 [5,6]。
图1.充气支气管征。图中清楚地显示了1例肺炎患者肺实变内支气管 (黑色箭)。嵌入图显示了实变内相应的畅通支气管 (白色箭)。
空气新月征是一种放射学征象,在多排计算机断层扫描 (MDCT) 研究中更为明显,其特征是侵袭性和半侵袭性曲霉菌病病变中出现空气征象 (Fig).2) [7]。1975年巴德和哈萨尼描述 “在肺血肿中出现新月形征”,第一个描述该征象不是感染性曲霉菌病所特有,作者报道这种发现在 “硬币病变” 中的征象为非特异性 [8]。曲霉菌是一种微生物,最初在支气管内增殖,随后通过支气管动脉侵入血流,伴有血栓形成,血管腔闭塞致使病变内出现坏死和空洞。对于侵袭性曲霉菌病,MDCT图像显示周围磨玻璃密度增高或增厚和/或多发支气管周围结节,其边界不规则; 出现2周后,这些密度增加的区域发生坏死和空洞,随后形成空气新月形征 (约20天后)。这种征象的出现可以解释为病变中心部位坏死组织出现外周吸收: 残余部分被空气所取代。50% 侵袭性曲霉菌病患者可见空气新月征 [10]。坏死区的吸收与预后改善和感染的逐渐恢复相关 [11]。几位作者报道可在肺实质坏死区发现空气新月形征,这些坏死区由其他原因引起,如结核、脓肿、癌或寄生性病变 (包虫病) [7,8]。
图2. 空气新月征。肺曲霉菌病患者的CT扫描显示左上叶坏死和空洞病变 (白色箭)。充满空气的空洞看起来似新月形阴影 – 显示在被嵌入的图形。
拱廊样征
(Arcade-like sign)
拱廊样征是指在COP (隐源性机化性肺炎) 中常见的小叶周围纤维化的典型特征。2004年Ujitaet等 [12] 发现半数以上的COP患者存在小叶周围纤维化,呈 “弓形” 型; 这种征象也可能与小叶周围炎症有关。它表现为弯曲或拱形的实变带,边缘有阴影,沿次级肺小叶周围结构分布(图。3) ,经常波及到胸膜表面 [12]。

图3. 拱廊样征。COP病患者的小叶周围纤维化,表现为弯曲或拱形的实变带,边缘有阴影,沿次级肺小叶周围结构分布 (白色箭头)。这个图案类似拱廊外观 (如嵌入图片中重现)。
环礁征,也称为 “反晕征”,被描述为中心磨玻璃密度增加的区域,由实质实变区划分至少四分之三 [13],厚度至少为2mm (图.4)。1999年Zompatori等 [13]在病例报告中首次报道了“atoll”一词; 在本文中,BOOP (闭塞性细支气管炎伴机化性肺炎) 的改变呈环状混浊影,被定义为 “环礁征”。 该征的发病机制源于肺泡间隔的炎症和肺泡的细胞碎片,从而描述了中心磨玻璃和肉芽组织的环周增厚。最初它被描述为对COP和BOOP具有高度特异性。 1996年Voloudakiet等把由实变区环绕的磨玻璃区域描述为 “新月形和环形混浊影” [14]。随后,环礁形状的环状混浊影与许多其他肺部疾病相关 [15],如非典型结节病、肉芽肿性多血管炎、耶氏肺孢子菌病、腺癌、肺梗死,或放射治疗后遗症 (治疗后前4-12周) [16,17]。详细地说,Marchiori等报道了在感染性和非感染性肺部疾病中存在环礁征: 在感染性疾病中,反晕征可能发生在副球孢子菌病或接合菌病的病例[15]。也可能与侵袭性真菌机会性感染有关,尤其是在免疫功能低下的患者中,如白血病和移植物抗宿主病。2014年Legouge等描述了1例“反晕征”,发生于中性粒细胞减少性白血病的肺毛霉菌病患者 [18]。当与其他小叶中心结节相关时,环礁征也可能是活动性肺结核的表现 [6,19]。在活动性肉芽肿性疾病的病例中,反晕征的环可再现结节状外观 [15]。在非感染性疾病中已被描述为COP、韦格纳肉芽肿、淋巴瘤样肉芽肿和结节病。由于很多肺部疾病可能再现这种CT特征,因此环礁征呈非特异性征象 [15]。Marchiori等[20]的另一篇文献描述了反晕征的结节性和网状影像模式。结节型是指在边缘或反晕征内存在结节,这种影像学表现与肉芽肿性疾病 (结核和结节病) 有关。网状型的特征是反晕征内的网状结构,这种情况可能与侵袭性真菌疾病 (免疫功能低下的患者) 或肺梗死 (免疫功能正常的患者) 有关 [20]。
图4. 环礁征。“环礁征”(白色箭)显示一个中心磨玻璃区域伴外周实变的边缘。此CT表现类似于海洋环礁,常见于COP患者,也被称为“反晕征”。
Cheerios 征
(Cheerios sign)
 cheerios征是轴位断层图像中描述的一种征象,它是由一个含有小中心气腔的肺结节组成,由畅通的支气管供应气体 (图5)。它是由未闭塞的支气管分支周围的细胞增殖产生,可能为恶性或非恶性。1993年Reed和O'Neil[21]描述了次征象,指的是低级别肺腺癌。组织学上,可以复制cheerios征的肿瘤有原位腺癌、微浸润性腺癌、以鳞屑成分为主的浸润性腺癌或浸润性粘液腺癌。1997年Lee等将此征象与出现肺腺癌伴鳞屑型的结节性病变联系起来 [22]。它也可能与朗格汉斯X组织细胞增生症或脑膜上皮肺结节相关 [23]。空洞性结节可以区别出现cheerios 征的结节,因其坏死区域是由于坏死现象引起,而不是由于气道周围组织的增生。

图5. Cheerios 征。cheerios征是由于支气管分支周围的细胞增生所致 (白色箭),可见于郎格罕细胞组织细胞增生症或肺腺癌患者。此征象与著名的早餐麦片外观非常相似-似嵌入图形中显示的外观。
铺路石征
(Crazy paving)
“铺路石征” 是一种非特异性的肺部表现,由肺实质密度增加引起,呈磨玻璃样表现,与小叶间和小叶内间隔的网状增厚叠加 (图.6) [6、24、25]。这一征象最初见于肺蛋白沉积症患者,这是一种罕见的病理表现,肺泡由富含脂质的蛋白质物质填充,与间质炎症相关,从而再现多角形的次级肺小叶。其他原因见于细菌性肺炎、耶氏肺孢子球菌病、药物性疾病和鳞屑样肺腺癌等。铺路石征也可见于间质疾病-NSIP (非特异性间质性肺炎) 或COP、结节病、许多原因引起的肺出血,如肉芽肿性多血管炎和Goodpasture综合征 [26]。

图6.铺路石征。耶氏肺孢子球菌病患者,冠状面 (左侧) 和轴位 (右侧) CT图像显示肺磨玻璃衰减-伴叠加的网状结构影。这种外观看起来似 “罗马铺路石”,也可能见于不同的肺部疾病 (肺泡蛋白沉积症、ARDS、药物性肺炎等)。
彗星尾征
(Comet tail sign)
“彗星尾” 征表现为从胸膜下肿块向同侧肺门发出的曲线状阴影 (图7)。1986年Verschakelen[27]在1例病例报道描述了此征象。“彗星尾” 代表圆形肺不张邻近区域的扭曲的血管和支气管。通常伴有邻近胸膜增厚和邻近叶间裂移位。圆形肺不张是一种发生在胸膜表面附近的罕见肺实质塌陷,经常出现充气支气管征。随着时间的推移,圆形肺不张被赋予多种名称,如 “Blesovsky综合征” 或 “肺不张性假瘤”,通常出现肿瘤样表现。肺不张可以解释为胸膜表面出现刺激性物质,如石棉: 因此导致胸膜增厚,肺实质可收缩,发展为圆形肺不张 [6,28]。

图7. 彗星尾征。轴位CT图像 (a) 显示圆形实变 (黑色星号),拉伸的血管和支气管 (白色箭): 这些征象表现为在圆形病变的边缘出现 “彗星尾”,提示存在圆形肺不张。轴位CT图像 (b,纵隔窗) 显示背侧胸膜斑块伴钙化 (白色箭头)。
黑色支气管征
(Dark bronchus sign)
“黑色支气管征” 是一种征象,表现为在肺实质区可见明显较暗的支气管伴磨玻璃样阴影 (图8)。这一征象应与 “充气支气管征” 相鉴别,后者则表现为弥漫性肺实变区可见支气管结构。2007年Yadav等 [29] 描述了一例50岁的HIV感染患者,患有耶氏肺孢子菌病(PJP), MDCT图像显示其支气管比正常支气管较暗,这种表现与邻近肺密度增加有关 [29]。PJP的特征为磨玻璃阴影区,呈 “斑片状” 或弥漫性分布,可见小叶中心结节、胸腔积液和淋巴结肿大。在一些病例中,肺密度的增加非常轻微,并呈现广泛性分布,这种对称性、轻微和均匀的GGO可能很难识别,尤其呈弥漫性分布时,不能识别与其对比的健康肺实质区域。在这些情况下,黑色支气管征对识别由耶氏肺孢子菌引起的肺部感染非常有用 [29]。

图8. 黑色支气管征。图中显示了一个畅通的支气管结构 (白色箭),在肺实质区伴GGO情况下,支气管结构略显暗。黑色支气管征对识别耶氏肺孢子菌引起的肺部感染非常有用。
甜甜圈征
(Doughnut sign)
“甜甜圈征”可在侧位胸片或CT侧向投影中识别,该征象由一个完全不透射线的环组成,类似于甜甜圈(图9)[6]。它由左、右肺动脉和主动脉弓正常轮廓前面和上面以及肿大淋巴结下产生。形成不透射线环的淋巴结为肺门和隆突后纵隔部位的淋巴结。“甜甜圈”的透光中心由气管和上肺叶支气管组成。这种征象常见于肺结核和淋巴瘤[6,30]。

图9.甜甜圈征。“甜甜圈征”的侧位胸片:白色箭头清楚显示肺门区域存在白色不透射线环。是由位于中间支气管周围的肺门和隆突下淋巴结肿大,以及左、右肺动脉和主动脉弓的正前方和正上方正常结构所产生。此不透射线环与嵌入图像中甜甜圈的外观很相似。此征象可能提示肺结核患者中的淋巴结肿大。
蛋壳样钙化
(Eggshell calcifications)
胸片和CT影像可见到 “蛋壳” 钙化,代表有层状钙化的淋巴结 (图10),可能与不同的病理变化相关。文献中的第一个描述可以追溯到,Jacobson 和 Felson [31]在60年代后期第一次在文献中描述了这种钙化。根据1967年Jacobson公布的标准,在下列情况下出现 “蛋壳” 钙化:
1.钙化分布于周围,厚度至少为2mm,至少2个淋巴结明显;
2.可以呈完整钙化或 “破裂” 钙化;
3.至少存在一个直径大于1cm的淋巴结;
4.至少存在一个完整钙化环的淋巴结;
5.周围钙化的淋巴结偶尔位于中心部位 [31]。
蛋壳样钙化是一种非特异性征象,可见于各种疾病,如晚期结节病、矽肺、尘肺、硬皮病、淀粉样变、放疗后淋巴瘤、芽生菌病和组织胞浆菌病 [31,32]。

图10. 蛋壳样钙化。矽肺病人肿大淋巴结,可见小的外周层状钙化 (白色箭头); 然而,这些钙化再现了蛋壳的外观,是矽肺的一种非特异性征象,因为这些钙化可见于各种疾病,如晚期结节病、尘肺、硬皮病、淀粉样变、放疗后淋巴瘤、芽生菌病和组织胞浆菌病。
“滋养血管征” 是由于肺血管分支的存在而产生,该分支向局灶性病变方向延伸,在其背景下 “丢失” (图11)。这种影像学征象有两个主要意义 :( 1) 病变的血管起源 (例如,在动静脉畸形或栓塞的情况下) 和 (2) 病变的肿瘤性质,具有高新生血管生成活性。该征也被称为 “分支上的水果征”,与出现转移或脓毒性栓塞有关 [33,34],也常见于肺梗死或动静脉瘘 [33]。1992年Murata等对该征象进行了病理学相关性研究,表明在肿瘤性结节性病变中,尤其是转移性结节,通过穿透病变的动脉血管来判断“滋养血管征” ,仅在18% 病例的CT中可检测到该征象,在58% 的病例中,病变导致血管脱位,立即进入结节的周围 [35]。2014年Yudin报道,在肺肿瘤或肉芽肿中很少发现滋养血管征 [33]。

图11滋养血管征。肺动静脉畸形患者 (白色箭) 位于左上叶,相应的滋养血管 (白色箭头) 清晰可见。更详细地说,“供血血管征” 可以描述为肺血管分支走向局灶性病变,在其背景下“丢失”,它类似于水的通道,提供了足够的填充物 (如嵌入图所示)。
指套征
(Finger-in-glove sign)
手套中的手指外观是一种征象,可在胸片和CT上看到; 它包括具有特征性形状的肺部阴影(线性、V或Y形)以及边界清楚的分叶状边缘 (图.12)。此征象是由于粘液样物质填充的支气管结构扩张(支气管囊肿)所致。文献中的第一个定义可以追溯到2003年,当时Nguyen在胸后前位片描述了从肺门向肺周围延伸的线状或分枝状阴影 [36]。“指套征” 主要见于两种情况:
1.炎症性疾病,如囊性纤维化、变应性支气管肺曲霉菌病和哮喘;
2.阻塞性疾病,包括先天性 (支气管畸形) 和后天性 (异物) [36]。

图12. 指套征。右下叶支气管囊肿患者的轴位CT扫描 (白色箭)。支气管囊肿具有特征性形状肺部阴影 (线形、V或Y形),其边缘有明确的分叶状,其外观与手套中的手指相似。
Fleischner征
(Fleischner sign)
“Fleischner征” 由上游血流明显阻断的中央肺动脉组成 (图13) [37]。该征象是由大栓子进入中央肺动脉引起,也可见于肺动脉高压 [38]。1961年Felix George Fleischner描述了该征象,代表了胸片上肺栓塞最重要的影像学征象之一。
该征象常与 “指关节征” 有关,指的是肺动脉分支的突然截断,由于出现血凝块, 以一种类似于拳头指关节的方式出现 (图.14)。这种征象在CT图像上更为明显,已被描述为肺栓塞最典型的征象之一 [37,40]。

图13 . Fleischner征。“Fleischner征” 由上游截断的中央肺动脉组成 (a为白色箭,b为黑色星号)。通常是由一个进入中央肺动脉的大栓子引起的,同一患者的轴位CT图像也显示了这一点 (c,白色箭头)。

图14. 指关节征。图中1例深静脉血栓患者CT清楚地显示了明显的血凝块 (黑色箭所示),这是由于肺栓塞导致肺动脉突然截断。突然的截断似指关节形状。
星系征
(Galaxy sign)
 “星系征”是结节病的典型MDCT表现,由一个中心病变组成,通常>1cm,其周围有卫星状小结节(图15)。在某些情况下,也可以描绘磨玻璃样衰减区域。在2002年Nakatsu等在文献中首次描述了星系征,并对其进行了定义和提议,也发现了CT-病理的相关性,解析这种“肉瘤样肿块”是由多发的小肉芽肿病变融合所形成,这些肉芽肿在病变周围更容易区分。Nakatsu等在这些肿块性空洞的系列病例中描述了星系征,在这些患者中这一发现被认为相当罕见[41]。
星系征也可能与感染性疾病相关:在活动性肺结核病例中,也曾描述过由小结节融合的大结节,即与树芽征病变相关[42]。

图15. 星系征。图中显示左上肺叶两个边界模糊的结节性实变,周围有卫星状小结节(A和B中的白色箭)。靠近中心结节区域的小结节类似于“星系”的外观(如嵌入图C所示)。这是结节病的典型表现。
银杏叶征
(Ginkgo leaf sign)
后前位胸片可显示“银杏叶征”,是由胸壁皮下组织内存在大量气体引起(图16)。气体勾勒出胸大肌的纤维,形成一种类似于银杏叶的脉叶分支图案[43,44]。在文献中被描述为多发胸部损伤的典型影像学表现[43]。

图16.银杏叶征。病人的胸片显示弥漫性皮下气肿。术后胸片清楚显示大量气体位于皮下组织,进入胸肌纤维(黑色星号)。这种条纹状外观类似于银杏叶。
金S征
(Golden S-sign)
 金S征为胸部后前位片显示 “S” 形轮廓,代表右上叶肺不张伴右肺门肿块。1925年Ross and Golden首次描述为“金反S征” ,强调由于出现右肺门支气管肺癌导致右上肺叶不张45]。在胸片上,“S” 型的上、外侧部 (凹下) 表现为上叶不张,而下、内侧部 (凸下)与肺肿块相关 [46-47]。MDCT更容易显示此征象 (图17),正如最近在文献报道的那样[46,48] 中,不仅在支气管肺癌,而且在淋巴结肿大或纵膈肿瘤病例中均可见到此征象。

图17. 金S征。右肺癌患者出现金S征。A中清楚地显示了 “S” 型: 这种表现是由右上叶肺不张 (S型的上、外侧部)和右肺门 (S轮廓的下内侧) 的肺肿瘤所形成。冠状面MPR CT图像 (B) 很好地展现了相同的表现,与嵌入图中饼干的 “S” 形非常相似。
晕征
(Halo sign)
当实体病变被外周磨玻璃样区域环绕时,MDCT可以明显显示晕征(图.18))。在大多数情况下,磨玻璃样衰减被认为是病灶周围出血的过程。
Kuhlman等在1988年将该征象描述为血管侵袭性曲霉菌病的特征[49],尽管随着时间的推移,该发现与更广泛的可能病理改变相关,例如肿瘤性病变和其他非肿瘤性和非感染性疾病(血管炎、机化性肺炎、肺子宫内膜异位症)[50]。
尽管有报道称,感染性疾病的晕征较厚[51],但临床背景可能非常有助于出现这种CT征象的疾病进行鉴别诊断。在免疫功能低下的患者中,晕征与真菌感染(侵袭性曲霉菌病、肺念珠菌病、肺球孢子菌病)和淋巴增生性疾病相关。在免疫功能正常的患者中,出现晕征的病变包括原发性肿瘤、转移瘤、血管炎(肉芽肿性多血管炎)、结节病和机化性肺炎[51,52]。

图18. 晕征。CT图像显示血管侵袭性曲霉菌病患者左下肺叶的“晕征”,可见到圆形实变(白色箭)伴外周GGO,提示出血过程。这种环形或外周GGO类似于环礁附近的外观。
Patel Rita等在文献中介绍了 “猪头肉冻征”,在2000年将这种影像学表现描述为过敏性肺炎的典型特征[53]。CT影像特征为同时存在GGO、气体陷闭区域和正常肺区域(图19)。正常情况下,呼气相CT图像上可以看到这种征象。当小气道阻塞性疾病与肺泡炎性浸润成分共存时可见到此征象[54]。该征象被认为是CHP(慢性过敏性肺炎)的病理学征象,即使这种征象实际上可能发生在其他疾病,如细支气管炎相关的感染或一些非典型结节病伴肺泡受累。猪头肉冻征的定义源自肺实质的CT表现,在肺实质中可以观察到不同密度的小叶区,类似于典型的欧洲肉食菜肴[54]。

图19. 猪头肉冻征。该征象表现为混合性肺部表现,具有不同的衰减区域,其特点为同时存在磨玻璃样衰减区(由于浸润性疾病,外周黑色箭头)、气体陷闭(黑色箭)和正常肺组织。这种类型让人想起猪头肉冻外观,本例亚急性过敏性肺炎患者清楚显示了该征象。
蜂窝征
(Honeycombing)
 “肺的蜂窝状外观” 一词似乎起源于19世纪中叶的德国,然而,当时主要用于描述支气管畸形或囊性支气管扩张。后来,其他作者将UIP的特征性表现描述为 “支气管肺气肿” 或 “囊性肺硬变”。1949年Oswald和Parkinson首次使用 “蜂窝肺” 一词,并定义其特征[55]。根据Fleischner学会词汇表,蜂窝状或蜂窝状外观的特征是存在囊性腔,其壁位于胸膜下区域,直径在3到10mm之间 (图.20) [1]。蜂窝征代表了肺实质纤维化改变的终末阶段和肺结构的完全破坏。蜂窝征倾向更频繁地影响肺实质的基底部和外周区域,当病变扩大时,被认为是高度提示UIP的标志然而,应该记住在其他纤维病变中可以发现一些蜂窝征,如慢性过敏性肺炎、结节病纤维化阶段 (IV期) 和肺炎; 然而,在这些病例中,囊性变性的区域不广泛,其定位特征不典型 (例如主要为肺中部及肺尖部位实质受累)。尽管为了定义蜂窝征的存在,但囊性气腔不得不被整合成几个链, Fleischner协会最近的白皮书部分修改了这一特征,在正确的病理背景下,即使有一些胸膜下囊肿,其壁呈单层,可以定义为蜂窝状区域 [56]。

图20. 蜂窝征。图中显示UIP患者,这种放射学模式的特点是牵拉性支气管扩张、蜂窝征和网状结构影,好发于基底段及胸膜下区域。冠状扫描 (左图) 和轴位扫描 (右图) 所见的小囊性区域与蜂窝非常相似。
界面征
(Interface sign)
界面征代表纤维化间质性肺病的CT表现 [57]。正常情况下,胸膜下/纵隔脂肪和肺实质之间的界面呈线性且规则; 当存在有纤维化成分的间质性疾病时,肺实质可发展为间质增厚伴局灶性收缩,肺实质、血管、支气管或脏层胸膜之间的结构规律性发生了变化。在这些情况下,可以观察到 “锯齿状外观” (图21)。在所有的纤维化肺病 (如UIP、NSIP和CHP) 中都可以发现界面征,这是识别这些病理变化的最重要的标志之一 [58]。

图21. 界面征。1例UIP患者因纤维化导致胸膜表面不规则 (白色箭)。在有纤维成分的间质疾病的病例中,可能会出现间质增厚伴肺实质的局灶性收缩,从而改变肺实质、血管、支气管、或内脏胸膜之间的结构规律性。在这些情况下,可以观察到 “锯齿状外观”。
Monod 征
(Monod sign)
1954年Pesle和Monod 首次描述了“monod征”,是指在既往存在的空洞中出现围绕菌丝体瘤 (通常为曲霉菌球) 的空气 (图.22) [59]。monod征与空气新月征具有不同的预后意义 [6]。曲霉菌球的monod征见于免疫功能正常的患者,既往有空洞或囊性肺疾病的病史。在大多数情况下,这些是既往肺结核患者。症状通常以咯血为特征。在曲菌球的情况下,随着患者体位的变化,空洞内肿块 (包括真菌菌丝、粘液和细胞碎片) 似乎可移动,这使我们能够区分空洞内的肿块 (monod征) 与空洞性肿块 [60-61]。

图22. Monod征。曲霉菌瘤 (星号) 进入位于左上叶的空洞病变。真菌球根据病人俯卧 (左) 和或仰卧 (左下) 的位置而发生移动。
马赛克衰减
(Mosaic attenuation)
在CT图像上,“马赛克衰减” 模式指的是不同衰减区域相互交替的影像学表现 (图23)。1993年Eber等首次描述为细支气管炎的可能性表现 [62],King等1994年描述为慢性肺栓塞患者肺实质的典型表现 [63]。必须记住的是,在生理条件下可以发现最小程度的肺实质衰减呈不均匀性: 例如,肺的倾斜部分显示衰减增大,以及灌注增大 (因此,衰减增大)可见于中央部分而不是外周部分。马赛克型是一种非特异性征象,可见于各种病理变化: 小气道阻塞、闭塞的血管病理和肺实质病理。通过一些CT特征可以鉴别各种病理变化。当在低衰减区的情况下,血管比其他肺区小,马赛克外观的原因可能是血管 (例如慢性肺栓塞); 在这种情况下,低密度区代表异常区。当血管在不同衰减的肺区域呈均匀表现时,呼气扫描可能对放射科医生有帮助。呼气时,如果低衰减区不显示密度增加,则肺含有 “空气潴留” 区,是由于小气道病变 (例如细支气管炎)。 在这种情况下,低密度区与异常区相对应。对于肺实质性疾病,肺间质发生浸润过程,肺泡充满液体、细胞或纤维化。 在这种情况下,受影响的肺实质部分显示其衰减大于健康肺区域。病理区域和健康区域之间的血管径和血管数量没有差异,这种马赛克表现可见于PJP [64-65]。

图23. 马赛克衰减。哮喘患者的马赛克衰减。肺实质显示不同的衰减区域,这是由于空气潴留引起的肺小叶密度降低所致。这种外观让人想起马赛克,清楚显示在嵌入的图形。
Oreo 饼干征
(Oreo cookie sign)
最近一篇文献所描述的 “Oreo饼干征” 是指心包积液的表现,可以在胸片的侧位上看到此征象 (图24)。典型的心包积液引起心包阴影密度升高,心包的前后方被两条透射线所分割。这些线分别对应于心包脂肪和心外膜脂肪 [66]。CT影像更能清晰显示此征象。

图24. Oreo饼干征。侧位胸片显示Oreo饼干征: 包括由心包积液引起的心包阴影密度升高 (黑色星号),两条透射线 (黑色箭头)分割心包的前后方,由心包脂肪和心外膜脂肪引起。这种影像学表现再现了所谓的 “Oreo饼干征”,类似于著名的饼干。
Polo 钱币征
(Polo mint sign)
胸部“Polo 钱币征” 是指急性肺栓塞的典型表现,见于轴状位上血栓形成的血管 (图25)。2004年Wittram等发表的一篇论文描述了急性肺栓塞的影像学表现 [67]。Polo 钱币征对应于铁路轨道征,后者描述血栓血管显示在平行于其长轴的平面上。对比增强CT显示增强剂环绕中央充盈缺损区 [67]。

图25。Polo 钱币征。急性肺栓塞患者: 一个被造影剂环绕的血凝块 (白色箭头) 出现在肺血管内的“Polo钱币征” (类似于嵌入图中的Polo钱币),其识别对放射科医生非常重要,因为此征象是急性栓塞的标志。
爆米花样钙化
(Popcorn calcification)
这个征象是指存在无定形的钙化,通常呈环形,使我们联想到一片爆米花的出现 (图26)。对于肺部疾病,边界清楚结节内部的爆米花样钙化提示良性结节的诊断,即错构瘤。根据1993年Briccoli等发表的研究,爆米花样钙化仅见于10%的肺错构瘤 [68]。在胸片上可以发现爆米花样钙化,但胸部CT扫描上更能清楚显示,可以识别病灶内脂肪 (约60% 的病例)。脂肪组织通常呈小群体组织化分布且分散在钙化区域。提示良性钙化的其他类型为广泛性、中心性和分层性钙化; 斑点状和偏心性钙化更常与恶性病变 (类癌或骨肉瘤转移) 相关 [69,70]。

图26. 爆米花钙化。爆米花样钙化可见于肺错构瘤患者。该图显示肺错构瘤,其特征为存在脂肪和无定形钙化 (白色箭头),使我们联想一片爆米花的外观。
阳性支气管征
(Positive bronchus sign)
在胸部CT图像上,阳性的支气管征象由充满气体的支气管组成,表现为管状低衰减区,朝向外周结节形成的区域 (图27)。1988年Naidich等强调了外周结节内阳性支气管征的重要性: 在拟行支气管镜检查之前,这一发现可预测支气管镜检查本身的诊断结果 [71]。
1998年Singh在文献中报道并明确解释了这种放射学征象[72]。低衰减区可延伸至结节内,形成空气支气管征。支气管征并非见于所有类型的病变,更常见于肿块 (≥ 3cm) 和有毛刺边缘的肿块。一些研究表明,这种征象更常与恶性病变相关,尤其是与鳞屑样肺腺癌和腺癌相关。然而,受累支气管和肿块之间的相关性可能呈现变异。Tsuboi等描述了四种类型 :( 1) 支气管到达结节并发生截断; (2) 支气管到达结节并在结节内继续存在; (3) 支气管被肿瘤压迫,但粘膜保持完整; (4)由于肿瘤的粘膜下扩散,支气管阻塞,引起其不规则变薄。支气管和病变之间关系的描述在诊断过程中起着重要作用,因为在前两种类型中需要活检; 对于另外两种类型,经支气管针吸活检术可获得较好结果[73,74]。

图27. 阳性支气管征。胸部CT影像和嵌入图显示阳性支气管征: 该征象由充满气体的支气管组成 (黑色箭)-视为管状低衰减区,朝向外周结节形成区域。
铁路轨道征
(Railway track sign)
铁路轨道征是一种影像学征象,可见于急性肺栓塞患者的CT影像, 该征象发生在纵切面的肺动脉血管,表现为部分充盈缺损,这是由于血栓位于血管中央,造影剂位于血管外围,再现典型的 “轨道” 图像 (图28)。这个征象与 “Polo钱币征” (前述) 有关,在 “Polo钱币征” 中,血栓形成的血管在垂直于长轴的截面上显示。在慢性肺栓塞的病例中,“轨道” 图像不再可见,因为血栓位于血管的偏心位置 [63]。

图28. 铁路轨道征。冠状位CT图像显示肺动脉血管腔内的线性影和中心性充盈缺损影 (白色箭头),这是由于急性栓塞所致; 对比造影剂围绕中心腔内缺损的阴影,再现铁路轨道外观。铁路轨道征与Polo钱币征非常相似,后者显示轴向平面所显示的血栓形成血管。
弯刀综合征是一种罕见的心肺异常,其特征是由于肺静脉回流异常引起的左-右非紫绀性分流。1962年首次描述此综合征 [75],更常见于右半胸,并与肺发育不全相关。异常血管引流 :(a) 下腔静脉 (更常见);(b) 右心房;(c) 门静脉系统分支。胸片可发现大约三分之一的病例为弯刀征 (图.29), 异常血管通常呈不透射线的管状结构影,平行于心脏阴影的右边缘,再现了土耳其著名的弧形剑的形状。其他影像学特征包括肺发育不良和同侧纵隔移位。CT血管造影和MR血管造影可清晰显示这种血管异常,有助于排除肺隔离症和肺静脉曲张,在主要鉴别诊断其重要作用 [76]。

图29. 弯刀征。综合征弯刀征患者其肺静脉回流异常。很容易识别弯刀综合征(a和b中的白色箭): 异常血管常呈不透射线的管状结构影,平行于心脏阴影的右缘 (前后位CT和冠状位CT重建),再现土耳其著名的弧形剑 (c)。在轴位CT扫描 (d) 中,异常的肺静脉清晰可辨 (白色箭头)。 
印戒征
(Signet ring sign)
 “印戒征” 是一种胸部征象,可见于胸部CT扫描。1999年 Hugue Ouellette 在文献中描述过这种征象 [77]。CT影像显示支气管扩张伴管壁增厚,其侧面伴有各自的肺动脉,横切面类似一个印戒形状 (图30)。在正常肺实质中,支气管和伴随动脉的大小应该相似; 在支气管扩张的情况下,随着支气管大小的增大,这一比例发生改变 [77]。

图30. 印戒征。在一个年轻的囊性纤维化患者中,多发充满气体的支气管扩张,其侧面伴有各自的肺血管,这种表现再现了所谓的印戒征。
雪暴征
(Snowstorm sign)
“雪暴征” 是所有肺实质中出现弥漫性粟粒样微结节影 (1-2mm) (图.31),胸片上也可见其影像学特征。Yudin等描述了这种与血管肿瘤 (甲状腺癌、肾细胞癌) 相关的弥漫性转移性小结节的影像学表现。然而,他们推荐使用 “炮弹转移” 一词来表示由于胃肠道肿瘤而导致的病灶体积大且轮廓清晰 [78]。
Al-Thuhli等的文献也描述了这种影像学模式,报道了1例甲状腺乳头状癌转移结节患者,其结节呈粟粒状分布的 “暴风雪” 表现 [79]。常需要MDCT扫描来确诊,即 “真正粟粒性” 的结节, 鉴别诊断包括粟粒性结核、真菌感染 (组织胞浆菌病、球孢子菌病) 、结节病、水痘感染钙化 。Bhalotra等在文献也报道1例28岁男性肺泡微结石症患者,其弥漫性肺小结节呈肺雪暴征表现 [80]。
通过MDCT扫描对结节边缘的研究有助于鉴别诊断, 边界不清的结节则与远端气腔 (腺泡玫瑰花结节) 受累相关可能性大,而边界清晰的结节则提示间质病变 [78]。
临床病史、其他影像学表现或合并症可能有助于放射科医生的诊断: 在某些情况下,出现这些边界清晰的肺实质微结节则与已知原发肿瘤的肿瘤病因相关或与纵隔淋巴结肿大的结节病相关。

图31.雪暴征。一例肾细胞癌弥漫性转移的病人,双肺弥漫性肺实质性结节。肺实质的多发结节提示雪暴征,如嵌入图所示。
太阳爆发征
(Sunburst sign)
“太阳爆发征” 表现为肺结节或具有不规则和毛刺边缘的实质性团块影,似阳光,由此1997年O’donovan报道了“太阳爆发征” [81]。射线状或毛刺状边缘是由扭曲的血管和/或围绕肺结节的间隔增厚构成 (图32)。在鉴别诊断中,这些特征非常重要,如星系征,是指结节病结节周围的良性小结节。太阳爆发征提示恶性病变,特别是肺腺癌,推测边缘的存在被认为是恶性肿瘤的风险因素,从筛查研究中获得其OR值为2.2-2.5 [82]。

图32. 太阳爆发征。肺腺癌女性患者,61岁。CT影像显示实质肿瘤性病变其边缘呈毛刺状且不规则,类似 “太阳爆发” 的外观: 射线状或毛刺状边缘是由是由扭曲的血管和/或围绕肺团块的间隔增厚构成。
在MDCT图像上,树芽征是一种形态类型,类似于开花树 (图.33),其特征为存在毫米大小的小叶中心结节,具有多重线性分枝 [83]。1993年Im等在活动性肺结核患者的CT扫描中首次描述了树芽征[84],然而树芽征模式是由于终末细支气管被液体、粘液、或脓液引起的扩张和填充,是许多肺部疾病所表现的征象 [85]。树芽征可能见于远端气道疾病、细菌、病毒和真菌感染、某些先天性疾病 (例如囊性纤维化),一些特发性疾病 (闭塞性细支气管炎)、吸入/误吸、免疫功能紊乱、某些结缔组织疾病,可能引起小叶中心小动脉栓塞的肿瘤。树芽征的结节影可能与肺实质的其他改变相关,如支气管壁增厚,实变,和/或伴有磨玻璃外观的密度增加的区域 [85]。在某些情况下,这些阴影与支气管扩张有关,可出现小气道阻塞,呈马赛克样表现 (气体陷闭)。

图33. 树芽征。咳嗽和发热的患者其右下肺叶见小叶中心结节和线状分枝 (A和B中的白色箭) 。 这些CT影像表现为典型的树状征,与存在炎性细支气管炎相关。此种树芽外观是一种形态模式,类似于开花树 (C)。
电车轨道征
(Tram track sign)
在柱状支气管扩张患者的胸片中,出现电车轨道征是由于支气管分支增厚,而可能出现“电车线路“ 的外观 (图34)。更详细地说,支气管扩张在胸片上表现为平行线阴影。CT扫描可以更精确地了解电车轨道征,在其长轴上可以很好地描绘出管壁增厚的病理性支气管 [86]。这种 “电车线路” 外观常见于肺部受累的囊性纤维化患者和伴有严重支气管扩张的COPD患者。

图34. 电车轨道征。电车轨道征可以解释为胸片上存在增厚的支气管分支 (A和B的黑色箭头),它再现了C上清晰显示的 “电车线路” 外观。在D中,囊性纤维化患者的CT也显示相同的表现,冠状位CT显示支气管分支增厚 (柱状支气管扩张)。
多样性征象
(Miscellaneous)
其他几种疾病或异常可能会产生征象、符号和自然图形:蛇征、睡莲征、颈胸征、肺门重叠征、深沟征、Hampton驼峰征、瑞士奶酪征等。
在这些影像学征象中,肺包虫病有两种影像学特征:“蛇征”和“睡莲征”。放射科医生了解这些影像学表现非常重要,因为包虫除了在肝脏定植外,已报道肺为包虫感染的第二常见疾病部位[87,88]。“睡莲征”是包虫感染的病理学放射学征象,这是由于内囊膜从囊周脱落,囊膜在包虫液中塌陷和波动,产生睡莲的外观[89]。蛇征是指包虫囊肿内部破裂,寄生膜塌陷到囊肿内[90]。
其他征象对定位很有帮助,如颈胸征或肺门重叠征,这两种征象都基于“轮廓原理”。颈胸征用于区分上纵隔内的肿块是位于前方还是后方,而肺门重叠征允许我们定位肺门内的阴影,无论是前方还是后方[6]。
深沟征是指仰卧位胸部X射线上心膈角或肋膈角的阴影,由气胸引起的少量气体聚集所致[91]。Hampton驼峰征表现为一个小的肺外周实变,呈三角形,是由于肺栓塞导致的肺不张[92]。
最后,所谓的“瑞士奶酪征”被用来表示肺创伤性事件后出现肺撕裂和充满气体和/或液体的气囊[93]。肺气囊表现为肺实质内的一个“洞”,看起来似瑞士奶酪。除此之外,其他引起肺气囊的原因包括医源性通气引起的肺气囊(典型的新生儿)和感染后疾病。ARDS中也描述了这一发现[94]。
结  论
 一些影像学特征与日常生活中可能遇到的常见图像、标志、符号和自然图像相关。将特定的影像模式与这些符号或自然图像联系起来,易于理解和记忆,有助于放射科医生和非放射科医生学习,并有助于对各种疾病的影像学识别。 
尽管最初被描述为特定疾病的特征,但在其他病理条件下也发现了许多征象,了解每个征象的主要鉴别诊断和可能性诊断对于正确识别疾病至关重要。
参考文献(略)
文献来自:Chiarenza A, Esposto Ultimo L, Falsaperla D, et al. Chest imaging using signs, symbols, and naturalistic images: a practical guide for radiologists and non-radiologists.
Insights Imaging . 2019 Dec 4;10(1):114.doi: 10.1186/s13244-019-0789-4.