转载来自: 胸科之窗
本文作者:陈侠 副主任医师 乐清市第三人民医院 呼吸与危重症医学科/2021年温州医科大学附属第一医院PCCM介入呼吸病学单修学员 指导老师:陈彦凡 主任医师 温州医科大学附属第一医院PCCM科稿件审核:程胜 副主任医师 重庆医科大学附属大学城医院 PCCM科
系统性血管炎
系统性血管炎是一组以血管炎性破坏为特点的异质性疾病。肺脏较常受累,可出现不同的临床表现。最常累及皮肤、肾脏、肺、神经系统等。肺血管炎可原发,其中多数为特发性,或者继发于其他疾病,如感染、结缔组织病、肿瘤以及变态反应性疾病,甚至药物。
系统性血管炎分类2012年Chapel Hill血管炎分类
①ANCA相关性血管炎:包括肉芽肿性多血管炎(GPA)、嗜酸细胞性肉芽肿性多血管炎(EGPA)以及MPA;②免疫复合物性小血管炎:如抗肾小球基膜病、冷球蛋白性血管炎、IgA性血管炎(过敏性紫癜)、低补体血症性荨麻疹血管炎。四、变异性血管炎:无主导血管类型,可以累及任何大小血管(大、中、小)和类型(动静脉、毛细血管),包括贝赫切特综合征(白塞病)和科根综合征。五、单器官性血管炎:累及单一器官血管,为系统性血管炎局限性表现,包括皮肤白细胞破碎性血管炎、皮肤动脉炎、原发性中枢神经系统性血管炎及孤立性动脉炎。六、与系统疾病相关的血管炎:与系统性疾病相关,可能继发于某病因或系统性疾病,诊断需加上明确的系统性疾病的前缀,如系统性血管炎、类风湿性血管炎、结节病性血管炎。七、与可能病因相关的血管炎:包括丙肝病毒相关性冷球蛋白血症性血管炎、乙肝病毒相关性血管炎、梅毒相关性主动脉炎、血清病相关性免疫复合物性血管炎、药物相关性免疫复合物性血管炎、药物相关性ANCA相关性血管炎和肿瘤相关性血管炎等。ANCA相关性血管炎(AAV)
小血管炎是指累计小动脉、小静脉和毛细血管的炎症。ANCA是针对中性粒细胞和单核细胞胞内抗原成分的抗体。成人最常见的系统性小血管炎即ANCA相关性小血管炎,它包括三大类:中文EGPA、GPA和MPA。EGPA和GPA是坏死性肉芽肿性炎,而MPA是非肉芽肿性坏死性炎症。ANCA可分胞质型ANCA(C-ANCA)、核周型ANCA(P-ANCA)和介于两者之间的非典型性ANCA;根据ELISA法,常见靶抗原有蛋白酶3(PR3)、髓过氧化物酶(MPO)。GPA ANCA阳性率最高,75%~80%左右, MPA ANCA阳性率50~60%,EGPA 阳性率最低,约为30~40%。由此ANCA阴性,不能排除血管炎。
病因
感染过程中和感染后均可诱发AAV起病,感染至AAV产生的平均时间为3月,机制可能与分子模拟相关。可诱发AAV的病原体有金黄色葡萄球菌、铜绿假单胞菌、肠球菌属、表葡菌、分枝杆菌、EB病毒、巨细胞病毒及新型冠状病毒。
如果不治疗,AAV 通常是致命的,6个月的死亡率约为60%,1年的死亡率高达80%。由于免疫抑制疗法的出现,尤其是糖皮质激素联合环磷酰胺治疗方案的出现,极大地改善了 AAV 的结局,严重者可酌情加用利妥昔单抗或英夫利昔单抗,诱导治疗缓解后可改小剂量糖皮质激素联合环磷酰胺维持,疗程不少于18个月。但继发感染成为血管炎活动以外AAV死亡的主要原因,从起始治疗到发生严重感染的中位时间为54天,呼吸道是最常见的感染部位,其次是皮肤、泌尿道、胃肠道。如果患者CD4+T淋巴细胞计数〈200/μL,慎用糖皮质激素、免疫抑制剂。旧名Wegener肉芽肿,GPA组织病理学特征:肉芽肿、局灶性坏死、血管炎三联征。典型临床表现:鼻和鼻旁窦炎(首发症状)、肺部病变(80%患者累及肺部)及肾炎三联征,还可累计关节、眼、耳、皮肤、心脏、神经系统等。“三多一洞”,即多形性、多发性、多变性、空洞形成。最常见表现为肺部单发或多发结节、肿块,以双下肺、胸膜下多见,多以小叶中心分布。部分病人出现单发或多发空洞,早期为厚壁后变为薄壁。还可见浸润性阴影、肺出血所表现磨玻璃影、晕征。目前GPA的诊断标准采用1990年美国风湿病协会的分类标准(敏感性88.2%、特异性92%):①鼻或口腔炎症,痛性或无痛性口腔溃疡,脓性或血性鼻腔分泌物;②X线胸片异常,X线胸片示结节、固定浸润病灶或空洞;③尿沉渣异常,镜下血尿 (红细胞>5个/高倍视野)或出现红细胞管型;④病理性肉芽肿性炎性改变,动脉壁或动脉周围,或血管(动脉或微动脉)外区域有中性粒细胞浸润形成肉芽肿性炎症改变。符合2条或2条以上时可诊断为GPA[1]。ANCA相关性血管炎分类标准(2022年版美国风湿病协会ACR/欧洲抗风湿病联盟EULAR血管炎分类标准)(新标准的敏感性92%、特异性94%)
1.肉芽肿性多血管炎(GPA)分类标准应用该分类标准时,需注意:当确诊为小或中血管血管炎时,采用这一分类标准用于确诊GPA;在确诊前,应先排除类似血管炎的其他诊断。临床标准:鼻腔出血、溃疡、结痂、充血或堵塞,或鼻中隔缺损/穿孔,记为+3分。
软骨受累(耳或鼻软骨炎症、声音嘶哑或喘鸣、支气管受累或鞍鼻畸形),记为+2分。
传导性或感音神经性听力受损,记为+1分。
实验室、影像和活检标准:
细胞质抗中性粒细胞胞质抗体(c-ANCA)或抗蛋白酶3抗体(抗PR3)阳性,记为+5分。
胸部影像学检查示:肺结节、包块或空洞,记为+2分。
活检可见肉芽肿、血管外肉芽肿性炎症或巨细胞,记为+2分。
影像学检查示:鼻腔/鼻窦炎症、实变或积液,或乳突炎,记为+1分。
活检可见寡免疫复合物肾小球肾炎,记为+1分。
核周抗中性粒细胞胞浆抗体(p-ANCA)或抗髓过氧化物酶抗体(抗MPO)阳性,记为-1分。
血清嗜酸性粒细胞计数≥1×109/L,记为-4分。
确诊标准:上述10项条目,得分≥5分可诊断为GPA。我们对比美国风湿病协会1990年与2022年诊断标准可发现提高了诊断准确率;把老旧的只有胸片改为影像改变加入了更为精确的肺部CT表现;把尿常规检查改为肾活检表现更加精准;加入了排除其他ANCA相关的血管炎表现如:p-ANCA、抗MPO阳性,血清嗜酸性粒细胞计数增高的EGPA、MPA提高了标准的特异性。患者1周前出现发热,体温37.6℃左右,伴干咳,无腹痛腹泻,无尿频尿急,无关节痛皮疹。在当地医院予“美洛西林注射液”治疗1周无好转。3.查体:体温(T):37℃;脉搏(P):120次/分;呼吸频率(R):20次/分;血压(BP):125/84mmHg。神志清,巩膜无黄染,唇无发绀,颈静脉无怒张,右肺呼吸音低,两肺闻及湿性啰音;心率120次/分,心律齐,未闻及杂音。腹软,肝脾肋下未及,双下肢无水肿。4.门诊辅检:血常规:白细胞 13.71x109/L↑,中性粒细胞% 81.3%↑,嗜酸细胞% 1.2%,血红蛋白 90g/L ↓,血小板 385x109/L ↑,C-反应蛋白(超敏)>90mg/L ↑;尿素氮 1.7mmol/L ↓;肌酐 42μmol/L ↓;谷丙转氨酶77U/L↑;肺部CT:两肺多发感染伴空洞形成,右侧胸腔少量积液,纵膈小淋巴结显示。
入院诊断“社区获得性肺炎”,予亚胺培南西司他丁钠针1.0g 静脉滴注Q8H抗感染治疗,完善辅助检查:
血沉 57mm/h↑;结核感染T细胞检测(T-SPOT)阴性;凝血功能未见异常;D二聚体2.71mg/L↑;癌胚抗原1.6μg/L;尿常规:尿蛋白+,尿隐血阴性;补体C3 1.79g/L(正常值);β-1,3-D-葡聚糖试验(G试验)<10pg/mL;曲霉菌抗原(GM试验)阴性;类风湿因子 21.8IU/mL↑;抗核抗体阴性;降钙素原 0.288ng/mL↑;痰真菌及抗酸杆菌涂片阴性;痰结核分枝杆菌复合群DNA(X-pert)阴性;隐球菌荚膜抗原阴性。
患者住院期间出现鼻出血,头颅CT检查示:双侧上颌窦、蝶窦、蝶窦炎症;抗中性粒细胞胞质(ANCA)抗体:cANCA 阳性,抗蛋白酶3抗体(PR3)强阳性;支气管镜:气管支气管肉芽性增生;钳检病理示:鳞状上皮增生,上皮下较多中性粒细胞,淋巴细胞浸润,伴糜烂坏死,未见明显异型。


鼻甲下黏膜活检病理:Wegener肉芽肿不能除外。

请风湿免疫科会诊后,考虑诊断:肉芽肿性多血管炎(GPA)。予泼尼松片30mg每日一次,口服;羟氯喹片200mg 每日一次,口服治疗后热退病情好转。旧名:Churg-Strauss综合征,EGPA是以支气管哮喘、外周血嗜酸性粒细胞增多及血管外坏死性肉芽肿为特征的三联征。EGPA病程分三个不同时期,(a)前驱期,可持续数年,表现为支气管哮喘、变应性性鼻炎、鼻窦炎:(b)外周血嗜酸性粒细胞增高及组织嗜酸性粒细胞浸润期:外周血嗜酸粒细胞增多及浸润器官(c)系统性血管炎期:坏死性血管炎表现:紫癜、周围型神经病变、血管内外肉芽肿形成等。目前EGPA的诊断标准采用1990年美国风湿病协会的分类标准(敏感度85%,特异度99. 7%):①哮喘史;③外周血嗜酸粒细胞>10%;③单发性或多发性神经炎;④游走性或一过性肺浸润;⑤鼻旁窦炎:⑥组织活检证实有血管外嗜酸粒细胞增多性浸润。该6条标准中,只要符合其中4条,除外其他血管炎、肉芽肿性疾病,即可诊断为EGPA[1]。嗜酸性肉芽肿性多血管炎(EGPA)分类标准(2022年版ACR/EULAR血管炎分类标准)敏感性85%、特异性99%
应用该分类标准时,需注意:当确诊为小或中血管血管炎时,采用这一分类标准用于确诊EGPA;在确诊前,应先排除类似血管炎的其他诊断。临床标准:阻塞性气道疾病,记为+3分。
鼻息肉,记为+3分。
多发性或单发性神经炎,记为+1分。
实验室和活检标准:
血清嗜酸性粒细胞计数≥1×109/L,记为+5分。
活检可见血管外有嗜酸性粒细胞浸润,记为+2分。
细胞质抗中性粒细胞胞质抗体(c-ANCA)或抗蛋白酶3抗体(抗PR3)阳性,记为-3分。
血尿,记为-1分。
确诊标准:上述7项条目,得分≥6分可确诊为EGPA。新旧诊断标准对比,虽然敏感性及特异性变化不大,但把哮喘史改为了阻塞性气道疾病,我们从病例可以发现患者并无喘息症状,肺功能检查才发现阻塞性通气功能障碍,如果用旧标准可能漏诊;权重最高分值为外周血嗜酸粒细胞增高及活检可见血管外有嗜酸性粒细胞浸润,新旧标准差不多;新标准加入了血尿、c-ANCA抗PR3阳性排他性诊断,而旧标准“除外其他血管炎、肉芽肿性疾病”,可以看出新标准可操作性更高。患者1月前打理家务后出现咳嗽咳痰,无喘息、发热、咯血,外院予抗感染及雾化治疗(不详),仍有夜间咳嗽,无反酸。3. 查体:T:37.7℃;P:110次/分;R:20次/分;BP:197/102mmHg。神志清,巩膜无黄染,唇无发绀,颈静脉无怒张,两肺呼吸音对称,未闻及啰音;心率110次/分,心律齐,未闻及杂音。腹软,肝脾肋下未及,双下肢无水肿。4.辅助检查:血常规:白细胞 11.85x109/L↑;嗜酸性粒细胞% 16%↑;红细胞4.11x1012/L;血小板496x109/L↑;C-反应蛋白(超敏)>90mg/L ↑;尿常规:尿蛋白2+;尿素氮 11.2mmol/L ↑,肌酐 124μmol/L ↑;支气管镜下未见异常;肌电图:上下肢未见神经损伤;肺功能检查:轻度阻塞性通气功能障碍,弥散量中度下降;支气管舒张试验阳性;头颅CT:左侧筛窦蝶窦炎;肺部CT:两肺多发磨玻璃影;
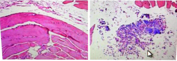
图5
ANCA抗体:cANCA:弱阳性,抗蛋白酶3抗体(PR3):阳性。
支气管镜下右中下叶支气管黏膜肥厚,予黏膜活检。

支气管黏膜活检

活检病理结果示:“右下叶前基底段支气管钳检”见多量横纹肌组织及少量分化良好的纤毛柱状上皮。临床考虑为:嗜酸细胞性肉芽肿性多血管炎,予甲强龙针40mg每日1次联合环磷酰胺针0.6g每周1次,治疗后血嗜酸性粒细胞下降,出院继续泼尼松片7.5mg每日1次联合吗替麦考酚酯胶囊0.25mg每日2次口服免疫抑制药物治疗。显微镜下多血管炎是一种主要累及小血管的系统性非肉芽肿性坏死性血管炎,常表现快速进展性肾小球肾炎和肺出血。还可出现皮肤紫癜、充血性斑丘疹、关节肌痛、发热等多系统病变。 MPA肺部影像学特征:两肺斑片状阴影、磨玻璃样影为主。病理基础是肺泡出血、小叶间隔炎症渗出。如出现肺纤维化提示预后差。既往本病诊断尚无统一标准,有以下情况有助于 MPA的诊断:①中老年,以男性多见;③具有发热、乏力、 厌食、关节痛和体重减轻等前驱症状;③肾脏损害表现,包括蛋白尿、血尿或(及)急进性肾功能不全等;④伴有肺部或肺肾综合征的临床表现;⑤伴有胃肠道、心脏、眼、耳、关节等全身各器官受累表现;⑥ANCA阳性;⑦肾、肺活检有助于诊断[1]。显微镜下多血管炎(MPA)分类标准(2022年版ACR/EULAR血管炎分类标准)敏感性91%、特异性94%应用该分类标准时,需注意:当确诊为小或中血管血管炎时,采用这一分类标准用于确诊MPA;在确诊前,应先排除类似血管炎的其他诊断。临床标准:鼻腔出血、溃疡、结痂、充血或堵塞,或鼻中隔缺损/穿孔,记为-3分。
实验室、影像和活检标准:
核周抗中性粒细胞胞浆抗体(p-ANCA)或抗髓过氧化物酶抗体(抗MPO)阳性,记为+6分。
胸部影像学检查示:纤维化或间质性肺病,记为+3分。
活检可见寡免疫复合物肾小球肾炎,记为+3分。
细胞质抗中性粒细胞胞质抗体(c-ANCA)或抗蛋白酶3抗体(抗PR3)阳性,记为-1分。
血清嗜酸性粒细胞计数≥1×109/L,记为-4分。
确诊标准:上述6项条目,得分≥5分可确诊为MPA。诊断标准从无到有改变是巨大的,我们可以发现MPA诊断标准中权重最大为p-ANCA或抗MPO阳性。主要是肺肾病变,其他如鼻病变、嗜酸性粒细胞增多、c-ANCA、抗PR3阳性为排他性诊断。患者18天前出现发热,体温39.1℃,当地医院予左氧氟沙星及头孢菌素(不详)治疗,热退而复升,6天前出现干咳,伴恶心呕吐,有头痛、肌肉酸痛,无喘息、咯血。3.查体:T:38℃;P:123次/分;R:20次/分;BP:139/81mmHg。神志清,巩膜无黄染,唇无发绀,颈静脉无怒张,两肺呼吸音对称,未闻及啰音;心率123次/分,心律齐,未闻及杂音。腹软,肝脾肋下未及,双下肢无浮肿。4.辅助检查:血常规:白细胞 10.64x109/L↑;嗜酸性粒细胞 0.8%;红细胞 3.24x1012/L↓;血小板352x109/L;C-反应蛋白(超敏) 98.47mg/L ↑;肌电图:上下肢未见神经损伤;尿素氮 5.9mmol/L ;肌酐 146μmol/L ↑;尿常规:尿蛋白1+,尿隐血2+;抗核抗体:阴性;支气管镜下未见异常;肺部CT:右肺上叶感染灶;
ANCA抗体:pANCA:阳性,抗髓过氧化物酶抗体(MPO):强阳性。患者考虑“ANCA相关性小血管炎,显微镜下多血管炎(microscopic polyangiitis,MPA)”,转风湿免疫科后,予甲强龙针60mg每日1次联合环磷酰胺针0.6g每日1次治疗后好转。参考文献:略。