下呼吸道感染:危害最为严重的疾病之一
根据2013年世界银行全球疾病负担(Global Burden of Disease)研究数据
下呼吸道感染一直以来都威胁着人类的健康。根据2013年世界银行全球疾病负担的研究数据来看,下呼吸道感染位列全球疾病死因的第四位,而且位列全部感染性疾病死因第一位。
肺炎临床诊疗和研究亟需解决的科学问题
从我们国家在呼吸道感染领域的临床诊疗和研究中的一些科学问题中会发现,有大量的临床问题还没有被解决,包括肺炎发病率、肺炎病死率、宿主危险因素、临床诊断标准、肺炎严重程度评价、病原学分布规律、肺炎远期预后、针对病原学目标治疗、针对宿主治疗、预防随访等方面。虽然《中国成人社区获得性肺炎诊治指南(2016版)》进行更新,但是很多科学问题亟需解决。
下面和大家分享4个疑难或者复杂的肺炎精粹故事。
一、肺炎精粹之特殊病原体感染
女性,66岁,主因「发现肺内结节1月余」入院。
既往急进性肾小球肾炎,ANCA相关小血管炎半年余,规律口服激素及环磷酰胺治疗;
1月余前患者常规复诊,无明显呼吸道症状,复查胸部CT:右肺上叶新发结节灶。结合患者症状及影像学变化,做了充分评估,但是没有拿到有效的病原学证据,考虑真菌感染可能性大,后给予伏立康唑200mg bid口服治疗4周。
在此期间,抗真菌治疗2周复查胸部CT:结节空洞体积缩小,壁变薄。
在此期间胸部CT演变
住院期间(确诊血管炎),胸部CT未发现肺内有明显的浸润影。但是在治疗过程中,病人右肺上叶出现实性结节灶。本来要做肺穿刺,但在做肺穿刺之前发现肺内病灶出现一些变化,变成了一些像薄壁空洞、形态不规则的演变,当时担心会有出血的风险,就没有完成肺穿刺。于是继续让病人口服抗真菌药物治疗2周,抗真菌药物治疗之后,影像学发生了一些变化,由原来的实性结节变成薄壁圆形的空洞。
现病史
我们在观察动态进展的变化中发现,抗真菌治疗4周复查胸部CT(2018-6-26),影像进展。肺内结节增多,有蔓延的趋势,由原来的右肺上叶逐渐转变为右肺下叶也开始出现一些结节伴有小的洞壁增厚的表现。
所以这样的病人到底存在什么问题?有没有考虑感染的情况?
回顾病例特点
中年女性,慢性病程,确诊ANCA相关血管炎,激素治疗3月余。
临床表现:厌食、乏力;
查体:满月脸,胸前、腹部、双上肢、双下肢可见紫癜、瘀斑,双肺呼吸音粗;
胸部CT:右肺上叶多发结节灶空洞,较前增多,较大空洞壁增厚;
抗真菌治疗4周,临床症状无改变,胸部影像进展。
在这种情况下,我们会考虑有些肺炎的复杂的鉴别诊断的问题,首先考虑是不是血管炎复发。
肺内病变性质——血管炎复发?
复发定义:在获得缓解后,任意器官系统中再次出现活动性血管炎的症状或体征。
复发特征:可表现出1项或多项下列特征
> 尿沉渣镜检阳性[变形红细胞性(肾小球性)血尿,有或没有红细胞管型],可能伴有血清肌酐升高
> 无感染证据,但发生咯血或肺出血或出现新发或扩大的肺结节
> 虹膜炎或葡萄膜炎、多数性单神经炎、鼻窦炎或任意组织活检发现坏死性血管炎
复发评估:
血常规+CRP:无异常
尿常规:无异常
肾功:CR 190umol/l,BUN 32.4mmol/l
血管炎抗体谱:cANCA 阳性(1:10),PR3 阴性
病人的全身症状也没有出现其他系统受累的表现,比如鼻窦炎、多数性单神经炎等,所以我们认为不支持血管炎复发。
会不会有其他的表现能够验证血管炎复发这一点呢?通过气管镜的方法,还是通过肺穿刺活检更能够明确感染呢?我们选择了肺穿刺的方法,这是因为肺穿刺获得的病理既可以明确血管炎复发,又可以判断组织是否存在感染的问题。
明确感染方法——我们的选择
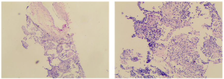
我们选择了CT引导下肺穿刺活检(2018-6-29),做了细菌、真菌、抗酸涂片及染色,细菌、真菌、TB培养,TB鉴定,同时送检病理。在培养的第4天就看到了一些比较干燥的小颗粒状的菌落生长,最后经过鉴定为盖尔森基兴诺卡菌。
而且,病理上也提示是肺组织较多急慢性炎细胞浸润,未见明确血管炎。最后经过磺胺、米诺环素的治疗,病人得到好转。
这个病例告诉我们,怀疑感染或者非感染性疾病的时候,如何确定选择哪种方式去明确病原学及病理的诊断。
二、肺炎精粹之肺炎的鉴别诊断
老年男性,主因「咳嗽、咳痰、腰痛1月」入院。
患者1月前受凉后出现发热,伴咳嗽,咳大量黄痰,同时伴有腰骶部疼痛,向双下肢放射,伴双下肢麻木感。
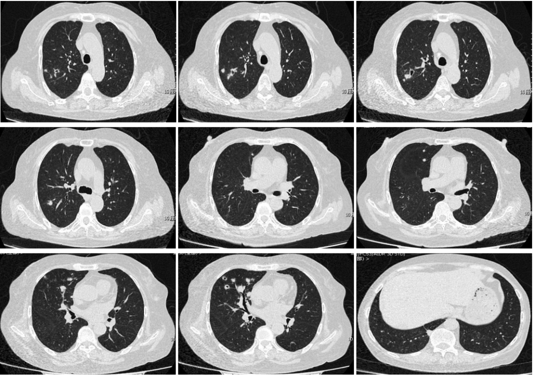
腰椎MRI检查提示「腰1-3水平椎管内及腰骶部,双侧腰大肌、竖脊肌内多发异常强化」,胸部CT提示左上肺类圆形厚壁空洞影,偏心性空洞。
痰细菌培养为「肺炎链球菌」。在骨科首诊,行B超引导下腰椎旁脓肿穿刺,抽出脓性液体,培养为「肺炎链球菌」。当地医院予美罗培南抗感染,并行腰椎感染清创+VSD引流术。
术后患者体温正常,但仍感咳嗽咳痰。
复查胸部CT(图4)左肺空洞较前无明显变化。
影像学改变
可以看到腰椎有明显的肌肉间隙的脓肿形成,而且对于有局部椎骨有一定的破坏。
影像学及病原学改变
病人第一次做胸部CT(左图,2019-3-4),明显看到左上肺类圆形厚壁空洞影,偏心性空洞。痰培养肺炎链球菌,但美罗培南治疗效果不佳。
治疗后复查
抗感染治疗2周后复查胸部CT(右图,2019-3-20),较前吸收不明显,似乎还有一些增长的情况,提示给我们什么呢?查不到病原学导致不好治疗,为什么在明确病原学的情况下,治疗后影像学几乎没有变化呢?其实这个时候告诉大家,这样的病例应该积极明确穿刺,去寻找其他的病因。
入院后安排穿刺后提示肺鳞癌,伴坏死。免疫组化 CK7(-),Ki67(约 50% 阳性)。经过化疗和局部放疗后,病人得到改善。
三、肺炎精粹之复杂肺炎患者的精准治疗
女性,73岁,主因「发热、咳嗽5天,双眼肿痛伴视力下降3天」于2017年10月23日入院;
患者自诉入院5天前「感冒」后出现发热,体温波动在38℃左右,伴咳嗽;
3天前出现左眼疼痛、畏光、流泪、视物不清、视力下降,曾外院就诊为左眼葡萄膜炎,于抗病毒滴眼液及普拉洛芬等滴眼液抗炎。症状无改善并右眼出现红痛、视物模糊,遂至眼科医院就诊;
眼科医院考虑「眼内炎」,予滴眼液外用及抗生素口,但患者仍有服发热,遂至我院眼科就诊,首诊眼科收入院;
既往糖尿病病史,血糖控制欠佳。
左眼(2017-10-23)
右眼视力:指数/眼前,左眼:光感,眼压:右眼:12mmHg,左眼:40mmHg。右眼球运动无明显受限,左眼转动受限制。左眼睑肿胀,压痛;双结膜睫状充血++,左眼结膜高度水肿,右结膜尚清,左眼角膜水肿,房水混浊+++,左眼前房见团状白色渗出,前房中深,双瞳孔等大等圆,直径3mm,左眼瞳孔区大量渗出物覆盖,右眼对光反射存在,左眼瞳孔对光反射消失。
胸部CT显示只有一些小结节,播散性结节的可能。
眼科请求会诊
眼脓肿治疗?为什么绿色脓液应用美罗培南效果不好?绿色脓液怀疑是绿脓杆菌?局部应用头孢他定?肺炎是否会引起严重的感染?
这样的病人明确是感染,但是治疗效果不好。我们积累的肺炎精粹的案例能给我们提供什么线索呢?
抗感染专家会诊
经验告诉我们,这样的急性眼内化脓性感染要警惕其他部位脓肿播散。最常见的部位是肝肾脓肿,最常见病原体是肺炎克雷伯菌,最常见药敏为高毒力不耐药的肺炎克雷伯菌,最好的处置办法是「引流霉素」+敏感抗菌药物。
病人在没有肝肾功能异常的情况下,行腹部CT示明显的肝脓肿,我们进行了积极的穿刺引流,再加上抗生素治疗后,明确感染。
血培养、分泌物培养——肺炎克雷伯菌
明确为高毒力的肺炎克雷伯菌感染。
眼脓肿穿刺引流
治疗经过
每日眼科消毒换药2次。病原学方面血培养、眼部分泌物、肝脓肿培养均为肺炎克雷伯杆菌,先后给予敏感抗生素美罗培南(5天)、哌拉西林他唑巴坦(10天)感染治疗。
病人的体温明显下降。
胸部CT(2017-11-8)
肺内结节得到好转吸收。经治疗后患者眼部症状逐渐减轻,眼部外形恢复正常,但遗留失明。
这个病例是复杂的感染性疾病,明确感染,明确病原学,但是治疗起来往往具有一定困难。这样的案例也记录在肺炎精粹中,这样的故事对于内科医生的处置、多学科诊疗模式能够充分表现出来。
四、肺炎精粹之特殊人群肺炎诊治
患者男,32岁,患者于2016-8在治疗急性白血病过程中出现发热,咳嗽、咳痰,最高体温39.5°C,给予头孢克肟抗感染体温未见明显下降,后改为亚胺培南西司他丁钠(0.5 g q6 h)联合阿米卡星(0.4 g qd)治疗,患者体温于2016-8-19降至正常。
患者2016-8-25再次出现发热,体温37.8°C,因患者合并粒细胞缺乏,不除外真菌感染。患者以肺部感染入院。
胸部CT示右上肺团块状高密度影,伴有晕征。
支气管镜下可见右上叶支气管开口可见大量灰黄色脓性分泌物附着管壁,向右上管腔生长,完全阻塞管口,支气管不能进入,坏死物质韧,拉扯不断。
我们取出了很少的分泌物和组织,立刻送检实验室,看到镜下有一些分隔形成的偏细长型的分枝菌丝的表现,这就是真菌感染。在培养下,我们考虑为真菌,主要是毛霉感染。经过标准的两性霉素B治疗,慢慢得到有效吸收。
这样的案例越来越多,提示我们临床越要积极地寻找线索和方法去明确病人的诊断。
上述的4个案例看起来有疑难,有复杂;有病原体的复杂,也有病人的复杂。实际上更想和大家分享的是诊疗过程中的规范,而肺炎精粹恰恰是肺炎事业中想要记录诊疗这些规范性的故事告诉给同行们,我们应该怎样去做。
CAP-China推动了我国呼吸道感染研究
着眼于临床问题,从实际出发,为呼吸道感染性疾病的诊断和治疗提供中国证据。
这些研究的基础就是刚才讲述的每一个真实有趣的临床案例,提供给我们一些帮助。
未来在继续——CAP-China在进行的项目
有兴趣的老师可以和CAP-China团队进行交流。无论是提交肺炎精粹的案例,还是想要参加研究团队,我们都非常欢迎。
思考未来中国肺炎研究的模式
虽然我们今天讲的是肺炎精粹,但是研究模式是要和大家建立更好的志同道合的关系,去做好交流平台,我们可以提出问题,寻找病例,解决问题。如果是某个案例的问题,我们可以根据肺炎精粹去解决;如果是群体的问题,我们通过临床研究来解决。非常重要的是,我们是志同道合的一群人,我们有热情,有兴趣,愿意分享,愿意协作,而不是单打独斗。
解决疑难问题不能仅靠「单打独斗」
单个研究中心:难以获得足够样本量的数据,研究设计难以实现;
单个研究中心:病例容易出现偏倚,对解答临床疑难问题可能存在误导性结果,难以与其他高水平研究(CAPO/CAPNETZ)相比;
单个研究者:精力有限、知识有限、看待问题角度单一;
单个研究者:难以获得参与高质量研究的机会。
要善于分享与协作,他山之石可以攻玉。
可以仅仅是一个科学问题:共同讨论,形成科研设计;
可以是一个研究设计:共同完善并论证可行性;
可以是一个成熟的研究计划:通过平台来实现;
可以是数据资料或数据分析的需求:导出电子库数据,协助分析。
所以一个科学问题可以扩展为一个研究,一个研究可以更深入的去解决科学问题。如果没有更多的案例的话,可以在平台上和同道一起去组合,或者仅以肺炎精粹的方式推广出来。
中国肺炎研究网由北京肺炎监测网发展而来
北京肺炎监测网确定了北京地区成人病毒性肺炎发病率病原谱
从2010年到2013年,我们对北京市肺炎监测网进行监测,了解肺炎的流行病学调查,研究为《中国成人社区获得性肺炎诊治指南(2016版)》修订提供了循证医学证据。开始建立中国肺炎研究网。
CAP-China是国内最大规模最规范的学术交流平台
由区域肺炎数据库扩大形成全国肺炎研究平台
起初,我们是以临床研究、课题研究为初衷去建立这样的数据库平台,后来逐渐从区域肺炎数据库扩大形成全国肺炎研究平台。
形成集研究、交流、继教和科普的综合平台
2018年11月CAP-China改版上线,以临床研究、基础研究相关课题为载体,增加前沿热点、继教学院、科普教育等多项内容,近期增加新冠版块(www.chinapneumonia.cn)。
新冠疫情期间完成多项重要研究
在CAP-China的网站可以了解到我们在新冠疫情期间所做出的贡献,比如首次报道COVID-19临床特征,也首次发现重症危险因素,完成洛匹那韦利托那韦及瑞德西韦临床研究,在《柳叶刀》和《新英格兰医学杂志》发表。
肺炎精粹——讲好肺炎的故事
CAP-China中有一个重要版块叫做「肺炎精粹」,也是今天和大家分享的内容。我们的初衷是想要讲好肺炎的故事,通过不同的案例去分享在临床诊疗肺炎过程中大家感兴趣,并且值得深思的故事。在这个版块中,包含肺炎的鉴别诊断,我们知道在指南的六步法中,第一步就是诊断和鉴别诊断,其实有很多疾病起病初期是以肺炎或者呼吸道感染为表现的非感染性疾病;还有肺炎的治疗策略,有很多病人是非常复杂的治疗过程;还包括特殊病原体肺炎、特殊人群肺炎的模块。
专家介绍

王一民
中日医院呼吸与危重症医学科主治医师,中国医师协会呼吸分会青年委员会委员,中国医疗保健国际交流促进会临床微生物与感染分会青委副主委。
