【引言】
念珠菌广泛存在于自然界,为条件致病真菌。临床上以白念珠菌(Candida albicans)最为常见。念珠菌在血琼脂及沙氏琼脂中生长良好,最适温度为25~ 37℃。白念珠菌以出芽方式繁殖,产生芽生孢子,呈圆形或卵圆形,直径为4~ 6 μm。多数芽生孢子延伸后,不与母细胞脱离,形成假菌丝,也可见真菌丝,但光滑念珠菌不形成假菌丝。白念珠菌在沙氏琼脂培养基中呈酵母样生长,在米粉吐温琼脂培养基中可形成大量假菌丝和具有特征性的顶端厚壁孢子。念珠菌显色培养基有助于临床快速鉴别常见白念珠菌、热带念珠菌、光滑念珠菌和克柔念珠菌。
【病情介绍】
患者董某某,男,64岁,以“胸痛2月,咳嗽1月,伴发热10天”于2023.7.14入院。
现病史:

2月前(2023.5月初)患者无诱因出现左侧胸痛,为左肩背部持续闷痛,无其他伴随症状,未在意。
1月前(2023.6月初)出现咳嗽,咳白粘痰,痰不易咳出,未治疗。
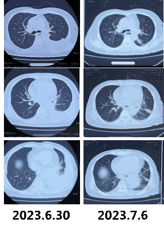
半月余前(2023.6.30)因胸痛、咳嗽无缓解,于外院行胸部CT示左肺下叶团片状高密度影,左侧胸腔积液,2023.7.3外院住院治疗。行左侧胸腔闭式引流术(7.4-7.10),共引流1000mL黄色浑浊胸水,胸水化验:白细胞3500/mm3,多核88%,ADA 10.5U/L,总蛋白55.2g/L,LDH 145U/L,培养见白色假丝酵母菌,病理未见肿瘤细胞。2023.7.4起患者出现发热,Tmax 38.6℃,热型无规律,给予“哌拉西林他唑巴坦 5g q12h(7.3-7.4)”“舒普深2g q8h(7.5-7.6)”,体温无好转,复查胸部CT(2023.7.6)示左肺下叶团片影较前进展。
2023.7.7外院支气管镜检查,镜下见左下背段、左下基底段各分支粘膜水肿、管腔狭窄, BALF培养见白色假丝酵母菌,BALF-NGS提示白色念珠菌,病理未见肿瘤细胞。调整抗感染方案为“美罗培南1g q8h(7.7-7.12)”“莫西沙星0.4g (7.7-7.9)”,“甲硝唑0.5g q8h(7.10-7.12)”。
患者仍反复发热,夜间咳嗽较前加重,咳白粘痰,胸痛较前稍缓解,伴乏力、头晕,伴恶心、呕吐,为进一步诊疗收住我院。
发病以来,神志清,精神差,纳差,睡眠差,大便稀糊状,小便无异常。体重下降10kg。
既往史与个人史:
11年前因“贲门癌”行全胃切除术+食管空肠吻合+侧侧吻合术,术中输血量不详,术后放化疗9次,后因吻合口肿胀放疗2个疗程,每年10月复查胸部CT及腹部CT,每3月复查肿瘤标志物,自诉近6年发现左侧少量胸腔积液,无症状,未治疗。
无吸烟、饮酒史,无冶游史。
入院查体:
T36.6℃,HR107.0次/分,RR20.0次/分,BP112/68mmHg,SpO2 97%,(FiO2 0.21),口唇无发绀,浅表淋巴结未触及肿大。左肺呼吸音低,右肺呼吸音粗,未闻及明显干湿罗音,无胸膜摩擦音。心率107次/分,律不齐,偶及早搏,各瓣膜听诊区未闻及杂音。
【诊疗过程】
常规化验检查:
【常规检查】血常规+CRP+PCT:白细胞计数25.29×109/L,中性粒细胞90.6%,CRP>160mg/L,PCT 0.21ng/ml。ALT 59IU/L。凝血四项+D二聚体:PT 16.2 ↑ 秒,PTA 66 ↓ %,Fib 8.12 ↑ g/L,D-D 2.60 ↑ mg/L。心梗四项:NT-proBNP 898 ↑ pg/ml,余正常。心电图:偶发室性早搏。
【肿瘤相关】前列腺抗原检查+CEA+CA199+NSE+CYFRA21-1+PRO-GRP+SCC阴性。
【感染相关】血G、GM、曲霉IgG、T-SPOT阴性。2次血培养均阴性。尿培养阴性。
【痰检】真菌涂片:可见真菌孢子及假丝;真菌培养:白念珠菌;细菌培养、Gene-Xpert、弱抗酸涂片、抗酸涂片、新型冠状病毒核酸阴性。
7.16支气管镜:
左下叶支气管较多白色粘稠分泌物,吸净后见:左下叶各段支气管管腔狭窄、粘膜肿胀。

7.16左侧胸腔闭式引流术:
置入10F引流管,引流出脓性胸水,质地浓稠,内有大量沉淀及絮状物(患者近期自行口服安素,类似肠内营养液质地)。常规:外观乳糜样浑浊,比重 1.022,细胞总数 满视野,有核细胞数 满视野,单核 30.0%,多核70.0%;总蛋白定量 TP 6.8 g/L,葡萄糖GLU 43.24 mmol/L,乳酸脱氢酶 LDH 7389↑IU/L,氯 CL 86.2 mmol/L,腺苷脱氨酶 ADA 84 ↑ U/L;乳糜试验阳性。肿瘤标记物阴性。病原学:胸水涂片:G+球菌成链大量,G-杆菌大量,可见真菌孢子及假丝;胸水培养见白念珠菌、屎肠球菌、鲍曼不动杆菌。抗酸涂片、Gene-Xpert阴性。病理:查见大量急慢性炎细胞,未见癌细胞。

2023.7.17进食火龙果约1小时后胸水
患者进食红心火龙果约1小时后,胸水呈粉色;患者于本院胸水培养见白念珠菌,而白念珠菌难以由肺内播散至胸膜;外院胸水及BALF培养见白色假丝酵母菌,BALF-NGS提示白色念珠菌,且患者既往有食管手术史,不能排除食管-胸膜瘘可能,我们追踪了患者2022年的胸部CT。可以看出,患者2022年胸部CT纵隔窗见明显食管-空肠吻合口缝合痕迹,而自2022.6.30起,吻合口处缝合脱落。

7.20胃镜:
检查所见:距门齿35-38cm食管至食管-空肠吻合口近全周可见巨大溃疡,局部伴深凹陷,底覆白苔及污物(于距门齿35cm处活检2块)。食管空肠吻合口距门齿38cm,吻合口肠侧黏膜充血、水肿,内镜可顺利通过。进镜至距门齿70cm可见肠间吻合口,肠间吻合口黏膜光滑、 未见肿物及溃疡,无狭窄。同时,内镜引导下鼻空肠营养管置入。
活检病理:鳞癌。
PET-CT:
见左侧胸膜受累可能,左侧腋窝及左侧胸壁肌间隙淋巴结转移。

【病例特点】
老年男性患者,慢性病程。
主要表现为持续胸痛、咳嗽,并逐渐出现发热
CT提示左肺下叶团片影及左侧胸腔积液,食管-空肠吻合口处结构不清。胸水及BALF均发现白色念珠菌。胃镜检查,镜下见食管局部断裂、吻合口瘘。
11年前因“贲门癌”行全胃切除术+食管空肠吻合+侧侧吻合术,术后放化疗,近6年发现左侧少量胸腔积液,近期增多。
【诊断】
1. 左侧脓胸(白色念珠菌、屎肠球菌、鲍曼不动杆菌)
2. 食管-胸腔瘘
3. 贲门癌 胃全切术后、放化疗后
4. 肝功能异常
5. 低蛋白血症
6. 中度贫血
【治疗】
1. 抗感染:卡泊芬净50mg qd(首剂量70mg)+特治星4.5g q8h静滴,肝功能正常后改卡泊芬净为氟康唑继续抗真菌感染;联合利奈唑胺口服抗屎肠球菌感。
2. 脏器功能支持:谷胱甘肽、异甘草酸镁保肝。
3. 营养支持:静脉营养联合空肠管鼻饲饮食,待病情稳定后逐渐由肠外营养过度为空肠管鼻饲营养。
4. 食管癌治疗:请消化科及胸外科会诊评估有无手术机会;患者家属经考虑后,决定保守治疗。
【总结】
本例病例曲折复杂,其诊断与治疗过程充满了挑战与启示,核心在于揭开了“念珠菌性脓胸”这一罕见表现背后的根本原因——食管-胸膜瘘。
念珠菌是人体口腔、消化道中常见的共生真菌。由于其常驻菌特性,仅从痰液或粪便标本中分离出念珠菌并不具备确诊意义。诊断侵袭性念珠菌感染的金标准,应依赖于无菌部位标本(如血液、脑脊液、腹水、胸水或关节腔液)培养阳性,或组织活检标本中同时存在真菌侵袭的组织学证据(高等级证据,强推荐)。
单纯性念珠菌性脓胸在无免疫抑制宿主中极为罕见,因念珠菌通常缺乏从肺部原发灶血行播散至胸膜的能力。因此,当在胸腔积液中发现念珠菌,尤其是作为优势病原体时,不应简单地视为污染或原发性真菌感染,而应将其视为一个重要的“哨兵信号”,强烈提示存在消化道与胸腔之间的异常通道。本例中,外院及本院的胸水、BALF中反复培养出白色念珠菌,这一不寻常的微生物学发现,是引导我们怀疑存在食管-胸膜瘘的第一条、也是最重要的线索。
食管-胸膜瘘继发脓胸的治疗必须采取综合策略,任何单一治疗都难以成功。 (1)理想情况下,应通过外科手术或内镜下支架置入等方式封闭瘘口,切断感染源。本例因肿瘤晚期、家属选择保守治疗,故治疗重点放在充分引流和抗感染上。(2)其次,需要充分引流,持续的胸腔闭式引流是控制感染、促进肺复张。(3)精准抗感染依赖动态的病原及药敏监测:感染为混合性,我们采用了覆盖念珠菌(卡泊芬净/氟康唑)、革兰阴性菌(包括鲍曼不动杆菌)和厌氧菌(哌拉西林他唑巴坦)、以及耐药革兰阳性菌(利奈唑胺)的广谱方案,符合指南推荐。(4)通过胃镜放置鼻空肠管,实现绕过瘘口的肠内营养,是实现消化道休息、减少胸腔污染、改善患者营养状况的核心支持措施。
本案例给我们的核心启示是:对于所有疑似或确诊的念珠菌性胸腔感染,都必须将排除食管-胸膜瘘作为首要任务。 特别是对于有食管疾病、手术或放疗史的患者,满足于肺部感染的诊断而忽略对瘘管的探寻,将导致治疗失败和病情恶化。
【参考文献】
【1】 Senger SS, Thompson GR 3rd, Samanta P, Ahrens J, Clancy CJ, Nguyen MH. Candida Empyema Thoracis at Two Academic Medical Centers: New Insights Into Treatment and Outcomes. Open Forum Infect Dis. 2021;8(4): ofaa656.
【2】 Moriyama B, Ditullio M, Wilson E, Henning SA, Penzak SR, Danner RL, Pennick G, Rinaldi MG, Zelazny AM, Gea-Banacloche J, Barrett AJ, Walsh TJ. Pharmacokinetics of anidulafungin in pleural fluid during the treatment of a patient with Candida empyema. Antimicrob Agents Chemother. 2011;55(5):2478-80.
【3】 Siddiqui A, Truong L, Shakil J. Recurrent Pleural Effusion Associated With Candida Albicans Infection in Transplanted Kidney: A Case Report. Transplant Proc. 2024;56(6):1509-1512.
【4】 中国成人念珠菌病诊断与治疗专家共识组,《中国成人念珠菌病诊断与治疗专家共识》,中国医学前沿杂志(电子版)》2020 年第 12 卷第 1 期:35-50.
【5】 Hoversten P, Otaki F, Katzka DA. Course of Esophageal Candidiasis and Outcomes of Patients at a Single Center. Clin Gastroenterol Hepatol. 2019; 17(1):200-202.e1.
