RadioGraphics
Martínez-de-Alegría A, Baleato-González S, García-Figueiras R, Bermúdez-Naveira A, Abdulkader-Nallib I, Díaz-Peromingo JA, Villalba-Martín C. IgG4-related Disease from Head to Toe. Radiographics. 2015 Nov-Dec;35(7):2007-25. doi: 10.1148/rg.357150066. Epub 2015 Oct 16. PMID: 26473450.
1
摘 要
免疫球蛋白G4相关疾病(IgG4-related Disease,IgG4-RD)是最近提出的一种临床病理疾病,其特征是富含IgG4阳性浆细胞的纤维炎性病变,常伴有亦或不伴血清IgG4浓度升高。
2003年自身免疫性胰腺炎患者出现胰腺外表现,随后IgG4-RD明确为系统性疾病。自此文献报道该疾病几乎累及全身各器官系统,并已在胆道、唾液腺和泪腺、眶周组织、肺、淋巴结、甲状腺、肾脏、前列腺、睾丸、乳房和垂体中得到确认。
IgG4-RD发病机制尚不清楚,但研究结果显示与自身免疫性疾病和过敏性疾病一致。尽管该病最终确诊依赖于组织病理,但在显示受累器官的浸润和进展方面影像学有重要作用。
由于IgG4-RD是系统性疾病,为了便于检测多器官受累情况,其影像学检查应始终包括全身检查。患者常表现为受累器官亚急性肿块或弥漫性肿大,偶可模仿肿瘤生长过程。在任一解剖位置的IgG4-RD的鉴别诊断中必须考虑各种炎症和肿瘤。IgG4-RD对皮质类固醇治疗往往疗效显著,因此放射科医生应熟悉该病的临床和影像学表现,避免延误诊断和不必要的手术干预。
©RSNA, 2015
SA-CME学习目标
完成这项基于日志的SA-CME活动后,参与者将能够:
• ■明确IgG4-RD中最常见的受累器官。
• ■描述胰腺和胰腺外IgG4-RD的特征性影像学表现。
• ■讨论每个受累器官的鉴别诊断。
2
引 言
IgG4-RD(免疫球蛋白G4相关疾病)是一种逐步被认识的免疫介导疾病,包括一组以前认为无关的,但具有共同的病理、血清学和临床特征的疾病(图1)。这些常见的共同特征包括IgG4浆细胞阳性和淋巴细胞浸润并伴有纤维化,出现一个或多个器官或组织系统肿大。此外,在大多数患者中发现血清IgG4浓度升高。

图1:已公认的可构成IgG4-RD谱部分的疾病
胰腺是IgG4-RD中最常见的受累器官。自2001年以来,已被普遍认识的一种硬化性胰腺炎(称之为1型自身免疫性胰腺炎)的患者,其血清IgG4浓度较高,胰腺标本中发现IgG4阳性浆细胞浸润(1)。然而,直到2003年,Kamisawa等人(2)才提出了IgG4相关自身免疫性疾病的概念,并提出自身免疫性胰腺炎只是这种系统性疾病谱的一部分。从那时起,在许多胰腺外器官,包括胆管、胆囊、淋巴结、腹膜后、肠系膜、肾脏、肺、乳房、前列腺和皮肤中发现了类似于自身免疫性胰腺炎的IgG4-RD(3-10)。头部和颈部也可受累,最常见的受累器官是唾液腺和泪腺、眼眶和甲状腺,以及垂体和脑膜(9,10)。尽管在大多数IgG4-RD患者中存在自身免疫性胰腺炎,但胰腺受累不再被认为是诊断的必要因素,因为仅见胰腺外受累的病例已被报道(11,12)。胰腺外病变有时会在胰腺炎发生前或15年后发生。
文献中使用了许多不同的术语来描述IgG4-RD,包括IgG4相关硬化性疾病、IgG4相关系统性疾病、IgG4相关自身免疫性疾病和系统性IgG4相关浆细胞综合征(13)。由于纤维化的特征是在某些器官中发现,但在其他器官中很少发现,此外该疾病既可以是系统性的,或只累及单个器官,因此硬化性或系统性等术语对于指代该疾病谱并不准确。一组日本研究人员最近达成共识,只使用“IgG4相关疾病”一词(14)。
目前有关IgG4-RD的发病机制知之甚少,有些研究发现该病与自身免疫性疾病和过敏性疾病一致。IgG4是最不丰富的IgG亚类(占健康受试者总IgG不足5%),且个体血清浓度一般稳定(15)。尽管IgG4在该病受累器官中普遍存在,但关于其在疾病发病机制中的作用,仍有许多待解决的问题(16)。
日本研究小组提出了三个主要的实用诊断标准:(a)临床检查显示单个或多个器官中存在特征性弥漫性或局限性肿胀或肿块;(b) 血液学检查显示血清IgG4浓度升高(≥135毫克/分升);和(c)组织病理学检查显示显著的淋巴浆细胞浸润和席纹式纤维化,以及组织器官IgG4阳性浆细胞浸润(图2)。如果三个标准同时满足,则认为IgG4-RD诊断是确定的;如果第一和第三个标准都满足,则认为诊断是可能性大;如果第一和第二个标准都满足,则认为诊断是可能的(17)。由于临床症状和病理特征取决于病变部位,因此要建立包括所有IgG4-RD患者的标准可能是不可能的。上述综合诊断标准不是说明器官特异性,而是为了帮助医生区分IgG4-RD与其他炎症或恶性疾病。

图2:IgG4相关甲状腺炎(Riedel甲状腺炎)的组织病理学特征。无论哪一受累器官,IgG4-RD的组织病理学结果具有高度相似性。(a)甲状腺实质的显微镜显示密集的淋巴浆细胞浸润(箭)。(原始放大倍数,×200;苏木精-伊红[H-E]染色。)(b)显微镜显示大量IgG4阳性浆细胞(箭)。棕色=含有IgG4的浆细胞细胞质,蓝色=浆细胞核。(原始放大倍数,×400;IgG4免疫染色。)(c)显微镜显示,正常甲状腺组织(箭)周围有片状纤维化(箭头)。(原始放大倍数,×40;H-E染色。)(d)显微镜显示IgG4阳性浆细胞阻塞静脉通道(闭塞性静脉炎)(箭头)。(原始放大倍数,×100;H-E染色。)
虽然IgG4-RD具有高度特征性的组织学表现,但如果没有IgG4的免疫组织化学染色,仍无法确诊。诊断IgG4-RD需要存在IgG4阳性浆细胞,但在其他炎症性疾病中也可检测到部分IgG4阳性浆细胞。然而,有人认为,IgG4浆细胞的密集浸润(每个高倍显微镜视野>10–50,取决于受累器官)对IgG4-RD诊断具有高度特异性(18)。IgG4阳性与IgG阳性浆细胞的比率高于40%也有助于区分IgG4-RD和非IgG4相关性炎症(17-19)。血清IgG4浓度升高在IgG4-RD中很常见,但不具备特异性(20)。此外,活检证实为IgG4-RD的20%-40%病例中,血清IgG4浓度可正常(15,18,21)。因此,血清IgG4浓度的增加或组织中IgG4阳性浆细胞数量的增加都不是IgG4-RD的特异性表现(18)。因此,该病的诊断需要与样本组织病理学特征以及临床和影像学结果仔细关联。
IgG4-RD的临床症状一般较轻,无发热或CRP水平升高。一旦影像检测到器官肿胀时,通常会偶然发现该病。大多数患者对类固醇治疗疗效显著,尽管部分患者对此类治疗不敏感(15)。文献报道,少数IgG4-RD病例患者患有癌症,主要为淋巴瘤和胰腺癌,但该病是否具有恶性转化可能性尚不明确(22)。
本文我们复习IgG4-RD胰腺和胰腺外受累的影像学表现,并探讨该病潜在受累器官系统的鉴别诊断。
3
知识点
■■在许多胰腺外器官,已发现与自身免疫性胰腺炎相似的IgG4-RD,包括胆管、胆囊、淋巴结、扁桃体后周、肠系膜、肾脏、肺、乳房、前列腺和皮肤。头部和颈部也可受累,最常见的受累器官为唾液腺和泪腺、眼眶和甲状腺,以及垂体和脑膜。
■■ 据我们所知,CT和MR对比剂增强时胰周出现“胶囊环征”或 “低密度晕”是自身免疫性胰腺炎一个特异性表现,该表现在其他胰腺疾病中均未见描述。该发现推测为积液、蜂窝织炎或纤维化所致,CT检出率12%-48%,MR检出率18%-47%。
■■ 原发性硬化性胆管炎见于年轻人,与炎症性肠病有关,症状持续时间较长,少见急性起病。IgG4相关硬化性胆管炎见于老年人,常伴有胰腺或胰腺外病变,可合并梗阻性黄疸,常通过类固醇治疗痊愈。
■■ 近40%IgG4相关性胰腺炎患者伴有唾液腺和/或泪腺受累,其特征为双侧腺体无痛性肿大。这种表现可能先于或伴随胰腺炎,但亦可单独发生。
■■ 胰腺疾病患者存在肾脏病变可用于鉴别自身免疫性胰腺炎和胰腺癌,因为它们同时出现强烈提示前者。
4
IgG4相关自身免疫性胰腺炎
自身免疫性胰腺炎是继发于自身免疫过程的慢性胰腺炎的一种特殊形式。最近的研究表明,根据病理特征,自身免疫性胰腺炎存在两种不同的亚型:1型(淋巴浆细胞硬化性胰腺炎)和2型(特发性导管中心型慢性胰腺炎)。1型自身免疫性胰腺炎是IgG4-RD的胰腺表现,而2型具有明显不同的组织学和临床特征,无血清IgG4浓度升高或自身抗体存在(23)。
IgG4相关自身免疫性胰腺炎是IgG4-RD的典型形式,其特征是胰腺导管周围IgG4阳性浆细胞浸润,导致导管周围纤维化。胰腺呈弥漫性或局灶性肿大,胰管不规则狭窄,偶伴胆总管(CBD)不规则狭窄。随着病程进展,胰腺实质腺泡萎缩,广泛硬化,导致小叶结构丧失(24)。
IgG4相关性自身免疫性胰腺炎占慢性胰腺炎患者约2%-8%(25)。以中老年男性受累为主,发病年龄45岁以上占95%,男女比例为3-7:1(22,26)。尽管部分患者少有或无腹痛、梗阻性黄疸、体重减轻、新发糖尿病、胰腺肿大或伴有胰腺外病变,但自身免疫性胰腺炎临床症状无特殊(27)。正是胰腺外纤维炎性病变与自身免疫性胰腺炎患者具有相似的组织病理学特征这一发现,才引申出IgG4-RD的概念。
由于部分病例可酷似胰腺癌,因此自身免疫性胰腺炎的诊断具有挑战性;大约3%-9%自身免疫性胰腺炎患者因疑似癌而遭受手术切除(28)。过去十年来自不同国家的一些学者提出了自身免疫性胰腺炎的各种诊断标准。日本胰腺协会于2002年制定了第一套标准(29,30),包括影像学检查表现、血清学检查结果(血清IgG4浓度升高)和特征性病理检查表现(淋巴浆细胞浸润、Storform纤维化和闭塞性静脉炎三者)。其他学者介绍了新的诊断参数(31,32),2011年,国际胰脏学协会发布了国际公认的自身免疫性胰腺炎诊断标准,该标准定义了1型自身免疫性胰腺炎的五个主要特征:胰腺影像表现(实质和导管),血清学结果(IgG4)、组织病理学表现和免疫染色、其他器官受累以及对类固醇治疗的反应(33)。
胰腺影像学表现在所有提出自身免疫性胰腺炎诊断标准中都起着重要作用,因为实验室和病理检查结果往往不足以诊断,有时甚至不具有特异性。横断面成像在明确多器官受累方面也至关重要。
自身免疫性胰腺炎有两种主要的公认模式:弥漫性和局灶性(34,35)。弥漫性疾病是更常见的类型,其特征是胰腺均匀增大,无胰腺裂。胰腺边缘锐利,小叶轮廓消失,形成无羽毛的香肠状外观。局灶性疾病的特征是胰头肿大,导致肿块样外观,亦可见于胰体或胰尾,相对少见。33%-41%病例表现为局灶性病变,影像上可能难以与胰腺癌鉴别(36)。
US上自身免疫性胰腺炎患者胰腺受累区域(图3)表现为低回声,CT表现为低密度,MR上T2WI轻度高信号,T1WI呈低信号(34)。由于实质存在纤维化,动态CT增强表现为独特的延迟强化模式(37)。
据我们所知,自身免疫性胰腺炎的一个在任何其他胰腺疾病中都未曾描述过特殊表现是CT和MR对比增强时胰周出现“胶囊征”或“低密度晕征”。体侧该表现为代表胰周积液、蜂窝织炎或纤维化,CT和MR检出率分别为12%-48%和18%-47%(图4-6)(34,37-39)。最近一项研究报告,自身免疫性胰腺炎患者胰腺灌注减少,但类固醇治疗后可好转(40)。其他作者认为,DWI联合其他影像学表现,可有助于区分自身免疫性胰腺炎和胰腺癌。自身免疫性胰腺炎的表观扩散系数(ADC值)明显低于胰腺癌,因为前者的细胞更大(36,41)。此外,据报道,氟-脱氧葡萄糖-正电子发射断层扫描(FDG-PET)显示,类固醇治疗后,与其他受IgG4-RD受累器官一样胰腺放射性示踪剂异常摄取会消失。




图6c
图6:男,77岁,弥漫性自身免疫性胰腺炎。(a)MR轴位T2WI图示胰腺肿大,无胰腺裂,轮廓清晰(呈香肠状)。(b)MR轴向对比增强动脉期T1WI图示实质强化,周围有低信号晕(箭头)。(c)注射对比剂3分钟MR轴向对比增强T1WI图示假包膜出现延迟增强(由于含纤维成分);目前该区域几乎与邻近胰腺实质无法区分(箭头所示)。
自身免疫性胰腺炎的特征性影像学表现为主胰管弥漫性或节段性狭窄,有时还伴有胆管狭窄,其在内镜逆行胰胆管造影(ERCP)和MR胰胆管造影(图7)中均可显示。胰腺导管穿透肿块(“导管穿透征”)是良性狭窄的一种高度特异性表现,常见于自身免疫性胰腺炎,而胰腺癌患者不常见(42)。此外,在自身免疫性胰腺炎患者中,经常可见胰腺病变远端的上游胰管平滑、锥形狭窄(“冰锥征”)(图7)(39)。相比之下,胰腺癌往往导致主胰管突然阻塞,而自身免疫性胰腺炎中很少见。原因是胰腺癌患者肿瘤始于导管上皮并产生早期梗阻,而自身免疫性胰腺炎因导管周围纤维化和炎症而导管外部受压(36,39)。在节段性狭窄的情况下,胰管上游不显示或轻度扩张有助于区分自身免疫性胰腺炎和胰腺癌(43)。对比增强后均匀强化和缺乏实质萎缩也有助于鉴别。

图7:男,47岁,局灶性自身免疫性胰腺炎。(a)MR轴位T2WI图示胰腺峡部轻度高信号伴病灶肿大,界限清晰(箭头),该发现提示水肿。(b)在较上层面MR轴位T2WI图示上游胰管轻度扩张(箭头)。(c)3.0T MR图像轴位DWI(b=800s/mm2)上,,相对于胰腺实质来说病变(箭头)因炎症浸润而呈高信号。(d)冠状位MRI胰胆管成像示主胰管受累段狭窄(箭头),上游胰管扩张(箭头)。注意上游胰管平滑、锥形狭窄(冰锥征)。
慢性酒精性胰腺炎中常见的影像学表现在自身免疫性胰腺炎中很少见,尤其是胰腺钙化和假性囊肿形成(44)。严重的胰周积液是急性胰腺炎的典型特征,在自身免疫性胰腺炎中也是罕见的(图4)(34)。
IgG4相关性自身免疫性胰腺炎对口服类固醇治疗反应迅速,4-6周内胰腺形态和功能显著改善(图4)。但大约15%患者治疗后可见受累胰腺节段萎缩,提示炎症已经消退,该表现是疾病晚期表现(45)。尽管存在自身免疫性胰腺炎合并胰腺癌的病例报道,但据我们所知,没有数据支持这种IgG4-RD增加恶性肿瘤风险的论点(46)。
5
IgG4相关硬化性胆管炎
除了胰腺,胆管是IgG4-RD中最常见的受累器官;约60%-80%的1型自身免疫性胰腺炎患者存在肝胆管受累。然而,IgG4相关性硬化性胆管炎亦可单独发生而不伴有胰腺受累,因此准确诊断这类患者尤其困难(47,48)。肝内和肝外段胆管均可受累,可导致胆管密集的IgG4阳性浆细胞浸润和广泛的纤维化。最终引起局限性或弥漫性胆管壁增厚,主要是相关性狭窄与上游胆管扩张,ERCP和MRCP易发现这些表现(图8)(49)。最常见受累部位为CBD胰内段,因为大多数IgG4相关性硬化性胆管炎病例与自身免疫性胰腺炎有关。在这些患者中,受累的下段CBD狭窄是由胆管壁增厚以及胰腺炎症和/或水肿引起的(50)。

图 8c 图 8d
图8:男,71岁,自身免疫性胰腺炎患者,IgG4相关性硬化性胆管炎。(a)MRI
轴位T2WI图示弥漫性肝内胆管扩张(箭头)。(b)较低层面MRI轴位T2WI图示CBD壁轻度增厚(箭头)。此外需要注意,由于合并自身免疫性胰腺炎,胰尾(箭头)呈高信号。(c) ERCP图示肝内胆管多处狭窄伴有狭窄前扩张,合并肝总管近端一局限性狭窄(箭头所示)。(d)类固醇治疗1年后冠状位MRCP图示肝内胆管狭窄持续存在(箭头所示),但CBD扩张消失。
IgG4相关性硬化性胆管炎患者需要考虑的主要鉴别诊断是原发性硬化性胆管炎。原发性硬化性胆管炎见于年轻患者,与炎症性肠病有关,症状持续时间较长,急性程度较低。IgG4相关性硬化性胆管炎见于老年患者,常伴有胰腺或胰腺外病变,可包括梗阻性黄疸,通常类固醇治疗可痊愈(48,51)。在ERCP检查中,多发局灶性和节段性肝内胆管狭窄伴串珠状或“修剪树状”病变是原发性硬化性胆管炎的特征,而长且连续性狭窄常见于IgG4相关性硬化性胆管炎患者。局限性狭窄可见于CBD远端(52)。与胆管癌鉴别可能很困难,尤其是肝门部软组织肿块伴有胆管狭窄时。此时,肿瘤浸润仅限于胆管,而IgG4相关性硬化性胆管炎的管腔不规则且狭窄累及胆管和胰管。此外,胆管癌可导致肝包膜收缩征,这是由于纤维化所致(24)。
在IgG4相关硬化性胆管炎中,CT和MRI表现为包绕胆管外壁的圆形对称组织,边缘相对光滑,延迟期均匀强化(图8)。这些特征在胆管造影显示正常,但无论是在狭窄区域还是在无狭窄区域均可见(53)。偶尔胆囊受累,表现为弥漫性壁增厚,超声回声减弱,MRI-T2WI呈低信号,并伴有静脉对比延迟强化(54)。
尽管IgG4-RD通常对皮质类固醇(激素)治疗效果良好,但强烈推荐避免类固醇试验,并建议在类固醇开始治疗前通过获取活检标本来初步确认诊断,因为有些恶性病变在(激素)治疗后亦可好转(49)。即使患者正接受皮质类固醇维持性治疗,部分患者仍有可能复发。
6
唾液腺和泪腺受累
近40%的IgG4相关性胰腺炎患者存在唾液腺和/或泪腺受累,其特征是双侧无痛性腺体肿胀(55)。该表现可先于胰腺炎或伴随胰腺炎,但也可孤立发病。
患者表现为泪腺和唾液腺肿大(既往称为Mikulicz病)或下颌下腺慢性硬化性涎腺炎(也称为Küttner肿瘤)。既往这两种疾病都被误认为干燥综合征亚类;但目前认为其为IgG4-RD谱的一部分(56-58)。
Mikulicz病是一种特发性疾病,其特征是双侧泪腺、颌下腺、舌下腺和腮腺无痛性肿胀,确定诊断至少有两个腺体受累。尽管IgG4相关性Mikulicz病和Sjögren综合征均显示腺体肿大伴淋巴细胞浸润,但这两种疾病之间存在显著的临床和病理差异(57)。CT上,Mukulicz病的病变通常表现为均匀密度减低和均匀增强(图9)。MRI上,由于纤维化,T2WI上信号相对较低,且T1WI增强呈均匀强化(59)。


图9:男,33岁,IgG4相关涎腺腺炎。(a,b)轴位CT静脉对比增强图(a高于b层面)示腮腺肿胀,均匀强化(箭头)。(c) FDG PET/CT图示腮腺和颌下腺摄取增加(箭头)。腮腺活检显示密集的淋巴浆细胞浸润,伴有大量IgG4阳性浆细胞。(案件由西班牙巴塞罗那José Antonio Narváez医学博士提供。)
库特纳肿瘤(Küttner瘤)是涎腺肿大的一种相对少见原因,最早该病描述为单侧或双侧下颌下腺的“硬肿”。偶尔可有腮腺受累。Küttner瘤典型的组织学表现是含有IgG4阳性浆细胞的显著纤维硬化病变,故又称为IgG4相关性涎腺炎(56)。Küttner瘤纤维化往往比Mikulicz病更重,但两者影像学表现相似(14)。Küttner瘤单侧受累时,须与涎腺恶性肿瘤鉴别,双侧受累时,则须与急性期干燥综合征和唾液腺淋巴瘤鉴别(59)
7
眼眶受累
IgG4相关眼病患者主要表现为泪腺受累(图10)。IgG4相关性泪腺炎常为双侧,通常同时伴有唾液腺肿大(Mikulicz病)。组织学和血清学检查与涎腺炎患者相似。有研究发现,IgG4相关性慢性硬化性泪腺炎可能是淋巴瘤的一个诱因(60)。此外,最新的报道表明,相当一部分特发性眼眶炎症(又称为眼眶炎性假瘤)与IgG4-RD有关(61)。这些眼眶病变可为单侧或双侧,可累及整个眼眶或特定结构部分,包括眼外肌、泪腺系统和视神经。据报道,IgG4相关性眼眶炎性假瘤沿神经周围侵犯,三叉神经分支常受累。因此,放射科医生评估病变实体时,必须沿颅神经仔细评估(62,63)。CT上,眼眶炎性假瘤表现为低密度软组织影和均匀强化。MRI上中,由于纤维化,(相对于大脑信号)炎性假瘤T2WI上呈低信号(图11),且DWI常表现为高信号(64)。

图10:男,37岁,IgG4相关性泪腺炎。(a,b)MRI冠状位T1WI示左侧泪腺肿胀(箭头)。(c)MRI轴位T2WI示外直肌外侧一肿块伴相对低信号(由于纤维化)(箭头)。(d)手术活检期间拍摄泪腺照片(箭头),结果证实为IgG4相关性泪腺炎。组织病理学分析显示,每1高倍镜下有超过100个IgG4阳性浆细胞。(案件由西班牙圣地亚哥孔波斯特拉José Vicente P. Moreiras医学博士提供。)

图11:女,45岁,IgG4相关性眼眶炎性假瘤。(a,b)MRI轴位T2WI示左侧视神经周围一视锥内间隙肿块(a中的箭头),伴有眼球突出。(c)MRI冠状位T2WI示肿块包裹视神经(箭头所示),由于纤维化,肿块(相对于大脑)呈低信号。术后组织病理学显示淋巴浆细胞浸润,IgG4阳性/IgG阳性大于40%。(案件由西班牙圣地亚哥孔波斯特拉José Vicente P. Moreiras医学博士提供。)
8
IgG4相关性甲状腺炎
IgG4-RD甲状腺受累表现为两种形式:里德尔(Riedel)甲状腺炎和桥本(Hashimoto)甲状腺炎纤维变性。里德尔甲状腺炎是一种罕见的伴有广泛纤维化的慢性炎症,可导致一质地坚硬的无痛性肿块,累及甲状腺实质和周围组织。里德尔甲状腺炎1/3的患者在其他器官存在纤维硬化,因此认为该病是一种与IgG4相关的甲状腺炎(10,14)。CT表现为甲状腺局灶性或弥漫性低密度,与正常甲状腺组织相比,对比增强强化弱(图12)(59)。少数桥本甲状腺炎患者的组织学特征可能与IgG4-RD区分困难(65)。里德尔病类固醇治疗常导致甲状腺肿块显著缩小(图12)。

图12:女,45岁,IgG4相关性甲状腺炎(Riedel甲状腺炎)。(a)横断位超声图示甲状腺右叶一巨大不均质肿块(箭头所示)。(b,c)轴位CT对比增强图示肿块(箭头)边界不清,包裹右颈总动脉和锁骨下动脉。(d)冠状位CT对比增强图更好地显示肿块延伸至纵隔(箭头)。(e)冠状位FDG PET/CT融合图示肿块高摄取(箭头)。(f)仅接受类固醇治疗3个月后冠状位FDG PET/CT融合图示肿块(箭头)治疗疗效显著应,肿块体积缩小和放射性示踪剂摄取下降。
9
IgG4相关性肾病
高达35%的自身免疫性胰腺炎患者可见肾脏受累(66,67)。已经描述了五种疾病模式:双侧圆形或楔形外周皮质病变(最常见)(图13),弥漫性斑片状病变(图14),肾周环形软组织病变,双侧肾窦内结节,以及肾盂壁弥漫性增厚(66)。活检常表现为肾小管间质肾炎伴纤维化和大量IgG4阳性浆细胞浸润。当疾病表现为多个圆形或楔形皮质结节时,鉴别诊断包括肾盂肾炎、血管损伤、转移和淋巴瘤。在极少数情况下,当病变表现为孤立的圆形病变时,可能很难与肾细胞癌鉴别。
胰腺疾病患者存在肾脏病变强烈提示自身免疫性胰腺炎,因此可有助于自身免疫性胰腺炎和胰腺癌的鉴别 (67). IgG4相关性肾炎患者无血尿,常经皮质类固醇治疗后改善(66)。


图13:男,78岁,IgG4相关性肾病(多灶型)伴自身免疫性胰腺炎。(a)CT冠状位图示胰头肿胀(箭),肝外胆管扩张(箭头)。(b–d)轴位(b,c)和冠状位(d)CT对比增强皮质髓质期图示双侧肾脏内见多发境界清晰的楔形低密度病变(箭头)。组织病理学分析提示肾小管间质性肾炎。(案例由葡萄牙科英布拉Filipe Caseiro博士提供。)

图14:男,76岁,IgG4相关肾病(弥漫型)。CT轴位对比增强皮质髓质期图示双肾弥漫性低密度区(箭)导致双侧肾脏肿大。注意主动脉周围的小肿块(b中箭头),该发现提示IgG4相关性腹膜后纤维化。(案例由西班牙巴塞罗那医学博士Eva Castañer提供。)
CT平扫IgG4-RD的肾脏病变通常不能显示。增强动脉期病变呈弱强化(相对于正常肾皮质),延迟期病变呈等密度(相对于周围实质)。MRI的T1WI和T2WI上病变均表现为低信号,T1WI对比增强后呈轻度增强(66,68)。
10
IgG4相关淋巴结病变
伴发性淋巴结病变常见于IgG4-RD患者。它常见于已知IgG4-RD患者的影像学检查,偶尔提示疾病的早期表现。Hamano等人(55)报道80%的自身免疫性胰腺炎患者存在肺门淋巴结病变(图15)。其他常见的淋巴结受累部位包括纵隔淋巴结(图15)、腋窝淋巴结、颈部淋巴结和腹腔内淋巴结。当淋巴结病变为全身性时,鉴别诊断包括淋巴瘤、Castleman病和恶性肿瘤播散。相比之下,IgG4-RD的淋巴结往往较小(<2cm),患者无发烧或体重减轻。与结外病变患者不同,这些患者的组织学特征通常无硬化或静脉炎(4,22)。

图15:两名不同患者的IgG4相关胸部淋巴结病变。(a,b)男,72岁,自身免疫性胰腺炎患者,轴位CT增强图示纵隔和肺门淋巴结增多,相对较小、密度相对较低、部分融合(箭)。(c,d)男,33岁(与图9为同一患者),轴位CT增强图示纵隔多发淋巴结病变,以及前纵隔一境界清晰的肿块(箭头)。皮质类固醇治疗后,涎腺炎和纵隔受累淋巴结完全消失。(图15c和15d由西班牙巴塞罗那马里兰州José Antonio Narváez提供。)
11
IgG4相关性腹膜后纤维化
腹膜后纤维化是一种慢性炎症性疾病,可有多种潜在病因,包括感染、放疗、药物、恶性肿瘤和创伤。文献报道,约20%的自身免疫性胰腺炎患者存在腹膜后纤维化,其特征是组织学标本中可见大量IgG4阳性浆细胞浸润(69)。断层影像上,IgG4相关性腹膜后纤维化表现为腹膜后软组织肿块,覆盖腹主动脉及其分支或包绕输尿管,导致肾盂输尿管积水。主动脉周围病变,也称为IgG4相关性主动脉周围炎(图14),是边缘不规则的无狭窄性肿块,CT表现为均匀延迟强化,可伴有主动脉扩张(70,71)。Kasashima等(72)报道,57%的炎性腹主动脉瘤实际上是IgG4-RD的表现。该病的鉴别诊断包括淋巴瘤、大血管炎、梅毒、和结节病引起的主动脉炎。
12
IgG4相关性硬化性肠系膜炎
硬化性(或收缩性)肠系膜炎是一种罕见的慢性疾病,可导致小肠肠系膜局部或弥漫性纤维化和炎症。尽管硬化性肠系膜炎生理病理尚不明确,但其常伴有其他纤维炎症性疾病,包括自身免疫性胰腺炎、硬化性胆管炎和腹膜后纤维化。最近Kerdsiricharat等(73)报道,高达61%的硬化性肠系膜炎病例可表现IgG4-RD的组织病理学特征,如淋巴浆细胞浸润、纤维化和闭塞性静脉炎。影像上,硬化性肠系膜炎表现为包裹肠系膜血管的软组织肿块,与淋巴瘤、类癌和癌症等肠系膜疾病相似。肠系膜血管周围脂肪聚集即“脂肪环征”是IgG4相关肠系膜炎的一个重要CT表现,有助于与上述病变鉴别(图16)(73)。小肠可部分或完全梗阻。

图16:男,52岁,IgG4相关硬化性肠系膜炎。(a)轴位CT图示肠系膜间隙见一境界不清的软组织肿块,肠系膜上动脉周围可见一残存的脂肪晕(脂肪环征)(箭头)。(b)冠状位CT更好地显示肿块的进展,以及十二指肠的浸润和收缩(箭头)。(c)类固醇治疗9个月后随访CT冠状位图示肿块完全消失(箭头)。
13
IgG4相关性肺和胸膜病变
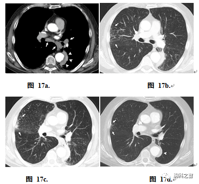
Hirano等(74)发现13%的自身免疫性胰腺炎患者存在肺部受累。已明确的IgG4相关性肺部疾病的四种主要类型:(a)以实性结节或肿块样病变为特征型,(b)以圆形磨玻璃阴影为特征型,(c)肺泡间质性病变型,以及(d)支气管血管性病变型(75)。小结节和肿块样病变常被误诊为肺癌(图17)。偶尔,组织学诊断为炎性假瘤。部分肺部炎性假瘤伴有淋巴浆细胞浸润、纤维化、阻塞性静脉炎和IgG4阳性浆细胞浸润,属于IgG4-RD范畴(76)。当IgG4相关肺部疾病在CT上表现为圆形毛玻璃样阴影时,影像学可能诊断为支气管肺泡癌。肺泡间质性病变类型是毛玻璃影和蜂窝状影的混合物,须与非特异性间质性肺炎相鉴别。在支气管血管性病变类型的IgG4相关性肺部疾病中,可见小叶间隔增厚,且常伴有肺门和/或纵隔淋巴结病变,可与结节病相似(75)。文献报道可见脏层或壁层胸膜增厚,有时累及胸膜下肺实质(图18)(76)。

图17:男,76岁,IgG4相关性肺部病变。患者无症状,但血清IgG4浓度(856 mg/dL)升高,肾脏受累的影像学表现(见图14)。(a)轴位CT增强图示纵隔和左肺门淋巴结病变(箭)以及主动脉旁肿块(箭头)。(b,c)不同层面轴位CT图示右肺上叶外周小叶间隔增厚,以及一小部分胸膜下肺泡(气腔)疾病(b–d中箭头)。推测性诊断为IgG4-RD,并进行皮质类固醇治疗。(d)治疗后轴位CT图示,包括主动脉旁肿块(箭头)在内的所有病变均已缩小。(案例由西班牙巴塞罗那医学博士Eva Castañer提供。)

图18:女,45岁,IgG4相关性胸膜病变。(a)轴位CT平扫图示胸膜下一小病灶(a和b中的箭)。(b)经皮穿刺活检时轴位CT图示淋巴浆细胞浸润,提示IgG4-RD。
IgG4相关性肺部病变可表现为有或无其他器官受累。患者可无症状,或出现咳嗽、呼吸困难、咯血、胸痛或呼吸衰竭。类固醇治疗可改善临床症状和影像学异常。
14
其他器官受累
文献报道IgG4-RD胃肠道受累罕见病例,可导致胃壁增厚和溃疡形成(77)。此外,经组织学证实IgG4相关性前列腺炎几例病例报道,患者表现为前列腺增大和梗阻性尿路症状。病理特征包括慢性炎症细胞浸润,IgG4阳性浆细胞数量增多,伴有腺体萎缩和纤维化。IgG4-RD睾丸、乳房、垂体和脑膜受累等罕见病例可表现为相同影像学和组织学特征(24)。
15
结 论
IgG4-RD是相对较新建立的一种系统性疾病,可导致组织器官纤维炎症浸润,有时与其他炎症或肿瘤相似。该病包括以前被认为仅限于单器官系统的大量疾病。胰腺是该病最常见的受累部位,但胰腺外病变仍在不断增加。,由于该病的患者通常对皮质类固醇治疗疗效显著,因此放射科医生须熟悉该病,及时识别该病可有助于避免诊断延误和不必要的侵入性操作。
参考文献:略
