一位T淋巴母细胞淋巴瘤化疗后的患者,以发热、咳嗽、咳痰为主要表现,多种抗菌药物抗感染治疗无效。血浆巨细胞病毒核酸定量CMV-DNA(+),肺部CT示散在腺泡结节影,更昔洛韦、膦甲酸钠、高效价CMV中和抗体人免疫球蛋白(CMV-IVIG)治疗后好转。故血液病患者,化疗后存在免疫功能低下的高危人群出现发热、咳嗽、咳痰,血浆巨细胞病毒核酸定量CMV-DNA(+),应高度怀疑巨细胞病毒感染的可能,及早诊断及治疗可改善其预后。
患者女,21岁,主因「诊断T淋巴母细胞淋巴瘤8个月」,为化疗于2016-10-31入院。患者2016-11-16日停化疗第1天出现发热,无畏寒及寒战、无头晕及头痛、无咳嗽及咳痰、无胸闷及气短等不适,体温最高达39.4℃,先后予亚胺培南、美罗培南、替考拉宁、利奈唑胺、两性霉素B、泊沙康唑、复方磺胺甲噁唑抗感染治疗,效果不佳。
既往诊断T淋巴母细胞淋巴瘤8个月,化疗过程中疾病全面复发,再次化疗三个疗程,疾病缓解。
查体:体温39.4℃,脉搏101次/分,呼吸20次/分,血压100/70mmHg,全身皮肤黏膜未见明显出血点及瘀斑,口腔黏膜无溃疡,咽部轻度红肿,双侧扁桃体不大,双肺叩诊清音,呼吸音清晰,两肺未闻及干湿罗音,无胸膜摩擦音。心前区无隆起,心尖搏动位置正常,心界无扩大,心率101/分,心音有力,律齐,各瓣膜听诊区未闻及杂音,无心包摩擦音。
查血常规:WBC0.21×109 /L,N 6.7%,LYM 0.18×109/L,RBC 2.13×1012 /L,HBG 64.9g/L,PLT 93×109/L;PCT 0.12ng/ml;CRP 4.12mg/L;血生化:ALT 26U/L,AST 26U/L,Tbil32umol/l,TP 52g/l,GLO 14g/l,K 3.6mmol/L,Na 127mmol/L,LDH 165U/L;血氧饱和度:99%。血G试验(-);GM试验(-);血培养阴性。血浆巨细胞病毒核酸定量(CMV-DNA) 1.3×107copy/ml。胸部CT: 两肺多发腺泡结节影,边缘模糊,部分沿支气管血管束分布,并可见少许树芽征(图1)。
图 1




考虑患者为血液病化疗期间,免疫功能低下,结合患者胸部CT及实验室检查考虑巨细胞病毒肺炎可能,后出现咳嗽及咳痰,痰巨细胞病毒核酸定量:9.6×106 copy/106MC。治疗调整如下:(1)加用更昔洛韦5mg/kg,q12h,膦甲酸钠60mg/kg,q8h;(2)高效价巨细胞病毒中和抗体的人免疫球蛋白(CMV-IVIgG) 5g/天,隔日一次。
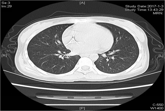
经过上述治疗,患者体温降至正常,咳嗽及咳痰较前好转。2017.1.3复查肺部CT(图2)较前明显好转。
图 2




转归:治疗40余天患者病情好转后行母供女半相同造血干细胞移植。
体会:
巨细胞病毒(以下简称CMV)是一种普遍存在的疱疹病毒,为人类已知的唯一宿主,人群感染率很高,成人达95%左右[1]。CMV具有潜伏-活化的生物学特性,一旦侵入人体将长期或终身存在于体内,通常在初次感染后以潜伏形式长期持续存在于各种组织中,例如肾脏、肝脏、肺脏等,在免疫正常的个体可呈无症状感染,多无须治疗,但在免疫功能抑制患者中则可以引起严重的巨细胞病毒性疾病,如CMV肺炎、CMV肝炎、CMV肠炎、CMV视网膜炎、CMV脑炎等[2-3]。其中CMV肺炎最为常见,愈后差,可发展为急性呼吸窘迫综合征(ARDS),病死率高达65%~90%[4]。
CMV肺炎临床表现为咳嗽、发热、呼吸困难、喘憋等,常常病情进展迅速,影像学表现为弥漫性肺部间质性病变,迅速进展为呼吸衰竭,与其他病毒感染所致肺炎的临床表现相似,缺乏特异性,易造成早期明确病原困难、治疗困难和延误治疗。可通过PCR法检测血浆、痰、组织中的CMV-DNA, 及结合临床表现、胸部CT等及早做出确诊[5]。
肺高分辨CT是CMV肺炎重要的诊断和鉴别诊断工具。双肺弥漫性磨玻璃影(GGO)最常见,可同时伴有双肺结节影(肺结节影也可以是唯一影像学表现)、肺泡实变、支气管血管树增宽和树芽征[6]。
在临床工作中,若免疫抑制状态患者出现无明显原因发热, 应重点排查CMV感染, 如合并有胸闷、咳嗽或呼吸困难等呼吸道症状,胸部CT表现GGO和/或结节影时应考虑CMV肺炎的可能。对CMV病毒性肺炎的早期诊断及有效的治疗是降低病死率和改善预后的关键。
参考文献
(1)董永绥.继续深入进行巨细胞病毒感染的研究[J].中华儿科杂志,1995,33(1):3-4.
(2)HernandoS,Folgueira L,Lumbreras C, et al. Comparison of cytomegalovirus viralload measure by real-time PCR with pp65 antigenemia for the diagnosis ofcytomegalovirus disease in solid organ transplant patients. Transplant Proc,2005,37: 4094-4096.
(3) Kalil RS,Hudson SL,GastonRS. Determinants of cardiovascular mortality afterrenal transplantation: a role for cytomegalovirus. Am JTransplant,2003,3: 79-81.
(4)Mets elaar H J ,Weimar W. Cytomegalovirus infection and renal transplantation[J ]. J AntimicrobChe mother, 1998, 47(1): 23- 37.
(5)宗华.60例病毒性肺炎患者的临床诊断治疗观察[J].医学信息,2014(3):449.
(6)Tomás Franquet, Kyung S. Lee, and Nestor L. Müller. Thin-SectionCT Findings in 32 Immunocompromised Patients with Cytomegalovirus Pneumonia WhoDo Not Have AIDS. AJR 2003;181:1059–1063.
 
                         
         
                                             
                                             
                                             
                                            
 
            