【引言】
冬季以来,新冠病毒在我国肆虐,但是非湖北地区的观察可以发现,新冠病毒并非最常见病原体。细菌、支原体、常见呼吸道病毒如流感等依然是CAP主要病原体,如何理性的认识不同类型肺炎是呼吸科医生必须掌握的能力,科学规范的防控措施配合恰当的病原学检查,才能在疫情中让我们的处置更加合理。
近期隔离病房被隔离的肺炎病人中,有这样一个值得注意的案例。一位青年患者,发热就诊,主管医生通过影像学的准确识别及时发现端倪,并最终确诊。希望以此病例提醒疫情下的肺炎管理,不要被隔离禁锢住思维。
【病情介绍】
患者,女性,39岁,电台主持人,石家庄人,主诉:咳嗽22天,发热7天。
于1月21日受凉后开始出现咳嗽,无痰,无明显发热,至河北省中医院门诊查血常规:WBC 9.84×109/L N7.0×109/L L1.56×109/L,予以口服阿奇霉素0.25g/d 6天,咳嗽症状未见明显变化。2月6日咳嗽症状加重,咳黄痰,至社区卫生站就诊,查血常规:WBC 12.36×109/L N9.41×109/L L2.11×109/L,查胸片示:支气管炎、左肺结节、左下肺结节及条索,静点头孢呋辛、炎琥宁后2天,患者出现发热,体温最高37.6℃,咳嗽加重。2月9日再次因发热就诊于河北省中医院,发热门诊查血常规:WBC 6.1×109/L N 3.82×109/L L1.84×109/L,胸部CT示:双肺上叶少量炎症,双肺少量陈旧性病变,左下肺胸膜处占位。收入隔离病房观察,采咽试子查2次新冠病毒核酸阴性后,2月12日以“肺炎、左下肺占位”收入呼吸科病房单间继续治疗。








患者既往18年前曾于河北省胸科医院诊断为肺结核,服药2年治愈。有劳累后低热、易咳嗽病史数年,青霉素过敏史。
入院后查体:T 36.6℃,P 103次/分,R 21次/分,BP 119/84mmHg,两肺呼吸音粗,未闻及明显干湿性啰音,心率103次/分,律齐,各瓣膜听诊区未闻及病理性杂音。
实验室检查:血常规:WBC 5.83×109/L N 3.55×109/L L 1.67×109/L Hb121g/L PLT 262×109/L 超敏CRP:27.3mg/L,ESR:13mm/h,尿液分析:潜血+ 红细胞计数98/ul,粪便常规:阴性
生化:未见明显异常,呼吸道抗原5项:阴性,呼吸道感染IgM:流感A IgM+、肺炎支原体IgM+,凝血五项:PT 15.6 INR1.40 TT42.1 Fib 0.43,痰涂片:可见G-杆菌,痰培养:阴性
初始诊疗思路:肺炎按照2016成人CAP指南治疗,左下肺占位,片状密度增高,边界清晰,内部密度不均,伴钙化,无支气管影,需要鉴别肺炎、肺隔离症、肺肿瘤、肺不张等,胸部增强CT有助于通过特征征象鉴别上述疾病。
初始治疗:莫西沙星0.4g qd,2天后患者体温恢复正常,精神好转,咳嗽减轻,咳痰消失。3天后改为头孢唑肟2g q12h+阿奇霉素0.5g qd 5天(因为新医保规定莫西沙星无病原情况下只能用3天)复查血常规(2月18日):WBC 5.21×109/L N2.80×109/L L1.91×109/L,超敏CRP 0.50mg/L。
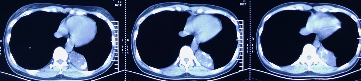
2月19日复查胸部增强CT:上叶病变同前,左肺下叶新磨玻璃影,炎症?左侧肺隔离症(左心房供血罕见)。




肺隔离症明确,但新发病灶的临床思考:1.院内肺炎?2.非感染性疾病?3.初始治疗未覆盖病原菌?4.隔离肺感染蔓延?5.影像学滞后?
分析:1.患者否认疫区及相关人员接触史,密切接触家庭成员无发病。初始发病前期白细胞总数升高、淋巴细胞不低,总病程近1月,临床症状较轻,经治疗后症状改善,肺部影像学变化较轻微,院内感染或近期合并新冠肺炎可能性较小。患者无痰,难以获得下呼吸道标本,多次查咽试子新冠核酸3次阴性,因此不考虑院内感染,包括合并新冠肺炎可能。2.结合患者亚急性病程、发热、咳嗽,抗生素治疗后临床缓解及影像学特点,考虑CAP可能性大。3.青年女性CAP病原考虑链球菌、流感嗜血杆菌、支原体、病毒等,痰涂片G-杆菌可能为流感嗜血杆菌,不除外G-肠杆菌,初始治疗喹诺酮类基本覆盖。受限于医保规定,3天后更换三代头孢+阿奇霉素。复查影像新发磨玻璃影,考虑未覆盖G-耐药菌、耐药支原体感染?追问患者诉“莫西沙星静点时,持续近1月的下牙痛症状明显减轻,更换阿奇后,牙痛加重”考虑口腔病原吸入导致肺部新发病灶?请口腔科会诊排除牙龈炎等疾病。仍不除外口腔厌氧菌、链球菌吸入。4.新发病灶与左侧隔离肺联系不紧密,不考虑隔离肺感染蔓延。5.肺部感染影像存在滞后现象。
后续治疗:头孢哌酮舒巴坦2g q8h+米诺环素0.1g bid 5天,患者牙痛消失,咳嗽基本消失,无痰。复查CT:炎症吸收


该患者左下肺肺隔离症仍然存在,建议患者如反复感染,需择期手术治疗。
【肺隔离症概述】
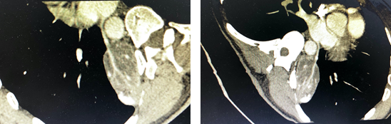
肺隔离症为先天性发育异常的肺疾病,其主要特点是病变由体动脉供血并与正常肺组织分离[1-3] 。最常见的血液供应来源于胸主动脉,其次为腹主动脉、肋间动脉、肾动脉、无名动脉、锁骨下动脉等[4]。发病率约占先天肺的发育畸形的0.2%~6.4% [5]。临床表现为非特异性,大多到合并呼吸道感染时才有症状,表现为反复肺部感染、痰血或咯血。根据解剖可以分为叶内和叶外两型。叶内型相对常见,分离的肺组织位于脏层胸膜内,很少合并其他部位畸形,多是先天性肺发育异常及后天慢性肺部感染形成,支气管与正常肺组织多相通,且静脉回流进入肺静脉,由于供血的体循环与肺循环压力差较大,从而出现反复肺部感染、咯血或痰中带血,进而形成肺纤维化、肺囊性变[6-7],推荐手术治疗;叶外型相对少见,具有独立的胸膜包裹,位于正常肺组织之外。常伴随先天性膈疝、肺气肿、支气管囊肿、先天性囊性腺瘤样畸形、先天性食管气管瘘、异位胰腺、先天性心脏病、结肠畸形等发育异常[8]。部叶外型可无症状,常在体检时发现,可随访观察,当症状进展再行手术治疗。DSA是诊断的“金标准”,增强CT或CTA是目前可以替代DSA的首选方法[9] 。
 
本例患者属叶外型,由左心房供血,较为罕见。
 
【诊治点评】
社区获得性肺炎方面:在特殊季节,对病毒不能“厚此薄彼”,并非所有的CAP都与新冠病毒关联,常见细菌、支原体、常见呼吸道病毒等依然是CAP主要病原体,流感仍然是这个季节我国最常见的病毒,呼吸科医生更不必过度恐慌,在科学、规范防控措施下,让呼吸道疾病患者都得到合理诊治。
肺隔离症方面:肺隔离症虽非常见病但也非罕见。对于下叶后 基底段贴近横膈及心影旁的囊性肿块或边缘光滑的团块状阴影,均应考虑到本病的可能。
肺隔离症为先天性发育异常的肺疾病,其主要特点是病变由体动脉供血并与正常肺组织分离。部分患者表现为反复肺部感染、痰血或咯血。希望通过本病例让大家了解肺隔离症的影像表现,在诊断和治疗中应重视本病。
【参考文献】
[1] Guan C,Chen H,Shao C,et al. Intralobar pulmo- nary sequestration complicating with cryptococcal in- fection[J]. Clin Respir J,2015,9(1) : 22-26.
[2] 严振球. 肺隔离症1例[J]. 临床军医杂志,2009,37(2) : 268.
[3] 何德根,张琳,成锋,等. 肺隔离症合并感染一例 [J]. 中国小儿急救医学,2011,18(1) : 20.
[4] 熊丽琴,王亚瑟,冯金坤,等. 多层螺旋 CT 及血管成像在肺隔离症诊断中的应用价值[J]. 实用心脑肺血管病杂志,2014,22(5) : 95-97.
[5] Montjoy C,Hadique S,Graeber G,et al. Intralobar bronchopulmonary sequestra in adults over age 50: case series and review[J]. W V Med J,2012,108 ( 5 ) : 8 -1 3 .
[6] 杨明,王开绿,李文军,等. 以咳嗽为表现的肺隔离症一例诊治分析并文献复习[J]. 实用心脑肺血管病杂志,2017,25(5) : 76-78.
[7] 李栋,区颂雷,马旭晨,等. 叶内型肺隔离症的临床分析[J]. 中国医药,2013,8(6) : 781-782.
[8] Nagasaka S,Kina S,Arimoto Y,et al. Rare local- ized extralobar sequestration with congenital cystic adenomatoid malformation: a case report[J]. Surg Case Rep,2017,3(1) : 47.
[9] 梁欣,李卉,张国滨,等. CT血管造影与DSA诊断肺隔离症的对比研究[J]. 介入放射学杂志,2012,2 1 (10) : 816-820.
本网站内容转载须联系版权方授权。
支持单位:拜耳医药保健有限公司
 
                         
         
                                             
                                             
                                             
                                            
 
            