【引言】
肺炎克雷伯菌是临床常见致病菌,可引起肺炎、血流感染、泌尿系感染等。依据毒力和致病特点不同分为经典肺炎克雷伯菌和高毒力肺炎克雷伯菌。其中后者感染常表现为急性起病、进展迅速、全身播散性感染等,病情重,预后差。不要被局部感染蒙蔽双眼,不要忽视肺炎克雷伯菌的高毒力侵袭性是本文希望读者能够有所感悟的。本期肺炎精粹介绍了中日医院呼吸与危重症医学科近期收治的 2 例高毒力肺炎克雷伯菌导致全身播散性感染的病例,2 例患者临床表现有所差异,预后也稍有不同,文章旨在提高临床对该病的早期识别及诊治能力。
【病例介绍】
1.病例 1
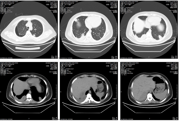
现病史:患者女性,41 岁,个体,河北省保定市人,主因间断发热、头痛 20 天,咳嗽、咳痰 2 周于 2019-7-25 入院。患者 20 天前「中暑」后出现发热,体温最高 39℃,畏寒、寒战,头痛,无呕吐,无咳嗽、咳痰、腹痛、腹泻等不适,自服「退热药」(具体不详)3 天,热退后体温复升。于当地诊所输液治疗(具体不详)3 天,头痛加重,恶心、非喷射性呕吐,呕吐物为胃内容物,无烧心、反酸,无咳嗽、腹泻。2 周前于当地医院查血常规:WBC 22.9×109/L、NE 91.1%;尿常规:白细胞 2+、蛋白+、酮体 3+、尿糖 4+;肝功能:ALT 57U/L、AST 28U/L、ALP 201U/L、GGT 102U/L;GLU 16.29 mmol/L。抗感染治疗(具体不详)3 天无效,仍发热,咳嗽、咳白粘痰,症状逐渐加重,出现前胸痛,波及双肩,未放射至后背、左臂、左手指,偶有呼吸困难。左眼视力模糊,无疼痛,右眼无异常。10 天前于本院急诊科查血常规示 WBC、NE 升高;CRP 191 mg/L、ESR 96 mm/h;NT-proBNP 792pg/ml;胸腹盆 CT 平扫:1. 双肺内见多发大小不等结节灶,转移瘤不除外 2. 心包少量积液,双侧少量胸腔积液 3. 肝右叶混杂低密度影(图 1);头颅 MRI 平扫:提示急性及亚急性多发腔隙性脑梗塞。考虑「肺部感染、急性脑血管病、肺多发结节」,给予「长春西丁、奥拉西坦、依达拉奉、对乙酰氨基酚、布洛芬」等对症治疗,最高体温降至 38.3℃ 左右,但咳嗽、呼吸困难加重,氧合指数 291。肝组织活检提示微脓肿形成,血培养回报肺炎克雷伯杆菌(药敏试验显示二三代头孢菌素敏感,哌拉西林敏感,亚胺培南敏感)。进一步行脑脊液常规及生化检查无明显异常;PCT 2.58ng/ml;血 GM 试验阴性;痰抗酸染色阴性。急诊及外科重症医学科考虑「肺部感染」,给予「美罗培南+万古霉素+更昔洛韦」抗感染治疗,并化痰、提高免疫功能等治疗,患者氧合功能改善,体温降至正常,但仍咳嗽、咳白粘痰,头痛、左眼痛、肝区痛,转入呼吸普通病房继续治疗。
图 1 病例 1 胸腹部 CT 平扫(2019-7-15)
既往史:否认高血压病、糖尿病史,但此次发病后监测血糖明显升高,符合糖尿病诊断标准。否认心脏病、脑血管疾病史,否认神经精神疾病史,否认肝炎史、结核史、疟疾史,预防接种史不详。14 年前曾于当地医院行剖宫产术,否认输血史。否认食物或药物过敏史。
入院查体:T 37.0℃,P 79 次/分,R 20 次/分,Bp 133/84 mmHg,SPO2 94%(鼻导管吸氧 2L/min)。神清,精神差,全身皮肤粘膜未见皮疹、出血点,浅表淋巴结未触及肿大。左眼肿痛,左眼球结膜充血,视物模糊,视力下降。颈稍抵抗。左肺呼吸音稍粗,右肺呼吸音低,未闻及干湿性啰音。心律规整,各瓣膜听诊区未闻及杂音。腹平软,无压痛、反跳痛及肌紧张,肝区未触及,肝区有叩痛,腹水征阴性,双下肢轻度指凹性水肿。
实验室检查:(2019-7-26)血常规:WBC 16.38×109/L、NE 86.6%、HGB 94 g/L、PLT 575×1012/L;CRP 94 mg/L、ESR 108 mm/h、PCT 2.39ng/ml;血 G 试验、GM 试验阴性;痰涂片及培养(细菌、真菌、结核、病毒)均未见异常;肝肾功能:ALB 32.2 g/L,GGT 216IU/L,ALP 305IU/L,UREA 1.15 mmol/L,CREA 28.2 mmol/L;糖化血红蛋白 10.6%。
影像学检查:头胸腹盆 CT 平扫(2019-7-23):同 2019-07-15 片对比仍可见肝脏低密度影,双侧胸腔积液、腹盆腔积液明显增多(图 2)。
图 2 病例 1 胸腹部 CT 平扫(2019-7-23)
诊疗经过:1. 感染方面:患者中年女性,有糖尿病基础,肺炎克雷伯菌感染,累及肝、肺、脑、左眼。2019-7-26 在局麻下行支气管镜检查,镜下未见明显异常(图 3),留取 BALF 及 TBLB 送检细菌、真菌、病毒、结核等相关病原学及病理检查,普通细菌涂片 G-杆菌,病理不考虑恶性可能。2019-7-29 在局麻下行肝脓肿穿刺引流术,引流脓液培养提示肺炎克雷伯菌(药敏结果同血培养)。入院后给予头孢哌酮舒巴坦 3.0 g Q8 h 抗感染治疗,并降颅压、纠正电解质紊乱等支持治疗。经过 3 周治疗,患者体温降至正常,未再咳嗽、咳痰、头痛。复查肝脏彩超液性暗区消失(图 4)。患者左眼视物模糊、视力下降,请眼科会诊考虑左眼内炎,给予左氧氟沙星滴眼液、氧氟沙星眼膏、阿托品凝胶局部治疗,左眼胀痛减轻。复查眼部彩超及 OCT 检查,玻璃体混浊较前减轻、局限,调整治疗方案为妥布霉素地塞米松滴眼液及阿托品凝胶继续治疗,左眼胀痛消失,模糊感较前减轻。
图 3 病例 1 支气管镜检查(2019-7-26)
图 4 病例 1 肝脏彩超(治疗前后对比图)
2. 糖尿病方面:患者既往否认糖尿病病史,未监测血糖,未正规治疗。此次发病后测血糖明显升高,空腹血糖>7.0 mmol/L,餐后 2 小时血糖>11.1 mmol/L,诊断为糖尿病。给予门冬胰岛素及甘精胰岛素降糖治疗,血糖水平较前下降,空腹血糖波动于 6.1~10.3 mmol/L,餐后 2 小时血糖波动 5.9-14.3 mmol/L。嘱其调整饮食结构,少食多餐,适当活动。
随访:患者抗感染方案降级为头孢曲松 2 g Qd 继续治疗 2 周,应用胰岛素降低血糖,左眼继续局部用药,病情稳定。
2. 病例 2
现病史:患者男性,16 岁,学生,内蒙古赤峰市人,主因间断发热 1 个月于 2019-8-1 入院。患者 1 个月前无明显诱因出现高热、寒战,体温最高 39.8℃,伴纳差、恶心、呕吐,呕吐物为胃内容物,无意识障碍、呼吸困难、腹痛、腹泻、乏力等,于当地社区卫生服务站应用「头孢类药物+炎琥宁」治疗 2 天无效。27 天前因鼻出血不止于当地医院查 PLT 10×109/L、血 GLU 35 mmol/L、尿酮体(+),收入当地医院 ICU,进一步查胸腹部 CT:双肺沿支气管血管束多发分布的结节影,肝脏多发低密度影,给予「头孢唑肟+万古霉素+奥硝唑」(具体剂量不详)抗感染治疗。25 天前仍高热、寒战,出现烦躁、呼吸困难,给予镇静治疗,并行气管插管、呼吸机辅助呼吸。23 天前调整抗感染治疗方案为「舒普深+万古霉素+奥硝唑」。21 天前复查胸腹部 CT:双肺之前多发结节影演变为空洞,有部分结节融合实变,双下肺实变、肺不张、胸腔积液,肝脏多发低密度影(密度较前减低)。患者病情持续进展,于 17 天前转入我院本院呼吸四部。查血常规:WBC 16.94×109/L、NE 90.7%、HGB 97 g/L、PLT 405×1012/L;CRP >200 mg/L、ESR 108 mm/h、PCT 1.05ng/ml;血 G 试验、GM 试验阴性;痰涂片及培养(细菌、真菌、结核、病毒)均未见异常;肝肾功能:ALB 33.3 g/L、UREA 7.98 mmol/L、CREA 51.5 mmol/L、GLU 19.19 mmol/L;血培养阴性;头胸腹盆 CT 平扫:1. 颅脑 CT 平扫未见异常 2. 气管插管术后改变 3. 双肺多发团片小空洞性病变,考虑炎性病变,请结合临床 4. 双肺下叶不张及实变,双侧胸腔积液 5. 肝右叶大团块低密度灶,建议增强进一步检查(图 5)。考虑存在脓毒症、肝脓肿、重症肺炎,给予「美罗培南 1.0 g Q8 h」抗感染治疗。14 天前行气管切开术并联合「阿米卡星 0.8 g Qd」加强抗感染治疗。入院后多次血培养均阴性,支气管镜下留取 BALF 送检细菌培养:肺炎克雷伯菌(敏感)、鲍曼不动杆菌及铜绿假单胞菌,余真菌、病毒、结核等相关检查均阴性。动态监测肝脏超声,肝脓肿未充分液化,未行脓肿穿刺引流。依据药敏结果,调整抗感染方案为「头孢哌酮舒巴坦 3.0 g Q8 h 联合阿米卡星 0.8 g Qd」。11 天前出现右眼视力下降,请眼科会诊考虑右眼内源性眼内炎,给予「醋酸泼尼松滴眼液+阿托品眼膏+左氧氟沙星滴眼液」治疗,建议病情稳定后手术干预。经过抗感染、降血糖、营养支持等综合治疗,患者体温正常,意识清楚,拔除气管插管,仍有咳嗽、咳痰,右眼视力下降,转呼吸普通病房继续诊治。
既往史:否认高血压病、糖尿病史,此次发病后监测血糖明显升高,符合糖尿病诊断标准。否认心脏病、脑血管疾病史,否认神经精神疾病史,否认肝炎史、结核史、疟疾史,预防接种史不详,否认手术史、外伤史、输血史,无食物或药物过敏史。
图 5 病例 2 胸腹部 CT 平扫(2019-7-14)
入院查体:T 36.6℃,P 108 次/分,R 20 次/分,Bp 115/53 mmHg,SPO2 99%(经鼻高流量 FiO2 0.3)。神清,精神差,右眼球结膜充血,视力下降,仅有光感。双肺呼吸音低,可闻及痰鸣音。心律规整,心音可,各瓣膜听诊区未闻及杂音。腹平软,无压痛、反跳痛及肌紧张,肝脾肋下未触及,双下肢无水肿。
实验室检查:(2019-8-3)血常规:WBC 5.42×109/L、NEUT% 71.0%、HGB 102 g/L、PLT 362×109/L;CRP 8.0 mg/L、PCT<0.05ng/ml;尿常规:尿蛋白 0.3 g/L、尿糖 28 mmol/L;肝肾功能:ALB 39.9 g/L、GGT 57IU/L、UREA 4.17 mmol/L、CREA 36.8 mmol/L。
诊疗经过:1. 感染方面:患者青年男性,有糖尿病基础,肺炎克雷伯菌感染,累及肝、肺、右眼。肺部方面曾出现重症肺炎,经积极抗感染、呼吸支持等治疗,咳嗽、咳痰减少,无呼吸困难,复查胸部 CT 提示肺部炎症明显吸收,右肺空洞变小(图 6)。肝脏方面动态监测肝脏彩超,肝右叶片状低回声,但无明确液性暗区,无引流指征,抗感染治疗后炎症亦较前吸收。眼睛方面右眼仅局部有光感,眼部超声提示右眼玻璃体密集点状回声(出血或者炎症);右眼玻璃体机化膜,球壁增厚;右眼可疑牵拉视网膜脱离。请眼科会诊,考虑右眼失明,无手术治疗指征。
图 6 病例 2 胸腹部 CT 平扫(2019-8-13)
2. 血糖方面:患者此次发病后发现血糖升高,已达糖尿病诊断标准。初始持续泵入胰岛素,后期调整为门冬胰岛素注射液联合甘精胰岛素注射液降糖治疗,血糖控制尚可。
随访:患者抗感染方案降级为头孢曲松 2 g Qd 继续治疗 2 周,应用胰岛素降低血糖,右眼继续局部用药。但右眼失明,预后不良。
【诊疗体会】
肺炎克雷伯菌是一种需氧革兰阴性杆菌,属肠杆菌科克雷伯菌属。依据毒力和致病特点分为经典肺炎克雷伯菌和高毒力肺炎克雷伯菌。前者毒力较低,主要为院内感染常见病原体,后者表现为高毒力,不仅感染免疫功能低下人群,还能感染非免疫缺陷宿主,多造成严重的社区获得性感染 [1]。
影响肺炎克雷伯菌毒力的主要因素有荚膜、脂多糖、黏附素、铁载体等。与经典肺炎克雷伯菌相比,高毒力肺炎克雷伯菌表达黏液表型调节基因 A,可促进荚膜多糖合成,且以 K1、K2 型为主,有利于免疫逃逸;其脂多糖的重要组成部分 O 抗原以 O1 抗原为主,可抵抗血清杀伤作用,易形成菌血症,造成其他部位感染;黏附素中的 1 型菌毛及 3 型菌毛可增加生物膜合成,促进细菌定植及侵袭;且高毒力肺炎克雷伯菌产生更多、活性更强的铁载体,如气杆菌素,通过阻断活性氧的产生降低吞噬细胞的杀菌能力 [2, 3]。
高毒力肺炎克雷伯菌感染可累及全身多部位,形成肝脓肿、脾脓肿、肺炎、脓胸、眼内炎、脑膜炎、泌尿系感染、血流感染、坏死性筋膜炎等,其中肝脓肿最常见。胃肠道是高毒力肺炎克雷伯菌定值的主要部位,该菌可能穿过肠粘膜屏障导致肝脓肿形成,进而吞噬该菌的中性粒细胞通过血液循环到达其他部位,引起其他部位感染 [4]。高血糖能抑制中性粒细胞的吞噬杀菌功能,增加感染风险。有报道糖尿病患者更易感染高毒力肺炎克雷伯菌,形成肝脓肿,且易并发眼内炎,有效控制血糖水平能减少转移性病灶,降低并发症的发生 [5]。
常见的由肝脓肿形成的转移性病灶为脾脓肿、腹膜炎等,严重者出现眼内炎和中枢神经系统感染等 [6]。该病进展迅速,预后差,即使采取有效治疗,仍有失明风险或遗留神经系统后遗症状。因此早期识别并强效抗感染治疗尤为重要。该病临床表现不典型,早期肝脓肿形成时期主要表现为发热、寒战、腹痛,部分可出现恶心、呕吐等不适。影像学检查是确诊脓肿形成的有效方法。及时留取血、脓液等标本送检细菌培养等病原学检查,早期鉴定病原体。依据病原学结果给予有效抗感染治疗,并加强呼吸支持、气道管理、穿刺引流、营养支持以及必要时的手术干预等综合治疗,促进病情恢复,减少并发症的发生。
本文报道的 2 例患者均有糖尿病基础,且平素未引起重视,控制欠佳。存在感染及转移的危险因素。二者均为社区获得性感染,急性起病,初期表现为高热、寒战,后出现咳嗽、呼吸困难、视力下降,病情进展迅速。病原学检查提示粘液型肺炎克雷伯菌,对所列药物均敏感。影像学检查均提示肺部感染、肝脓肿、眼内炎。结合临床表现及辅助检查,考虑为高毒力肺炎克雷伯菌导致全身播散性感染。及时给予抗感染、呼吸支持、营养支持等综合治疗,病情得以控制。但病例 1 遗留左眼视力明显下降,病例 2 因错失最佳手术时机,最终右眼失明,且病例 2 病程迁延时间相对较长,病程中出现呼吸衰竭,接受有创机械通气干预。因此,针对高毒力肺炎克雷伯菌感染,早期识别并及时有效治疗尤为重要。
【述评】
近年来高毒力肺炎克雷伯菌(HvKP)引起糖尿病宿主深部脓肿感染的案例频发报道,也有很多文献从毒力基因及耐药基因分析肺炎克雷伯菌的特殊性。笔者在上述两例肺炎克雷伯菌播散性感染中总结出早期识别(糖尿病宿主,深部脓肿,播散性肺炎,脓毒症等线索)、早期关注器官播散(眼内炎、颅内播散、脓毒性肺栓塞等)、严格管理并发症(血糖管理、液体管理等)等经验。稍显遗憾的是病例 2 的青年男性,因为早期原发感染灶(肝脓肿)没有及时处置而病情恶化,遗失处理眼部并发症的最佳时机。
附:该患者血培养肺炎克雷伯菌表现

附:经典肺炎克雷伯菌与高毒力肺炎克雷伯菌区别
参考文献
1.Hao Z, Duan J, Liu L, Shen X, Yu J, Guo Y, Wang L, Yu F: Prevalence of Community-Acquired, Hypervirulent Klebsiella pneumoniae Isolates in Wenzhou, China. Microb Drug Resist 2019.
2.Li J, Ren J, Wang W, Wang G, Gu G, Wu X, Wang Y, Huang M, Li J: Risk factors and clinical outcomes of hypervirulent Klebsiella pneumoniae induced bloodstream infections. Eur J Clin Microbiol Infect Dis 2018, 37(4):679-689.
3.Russo TA, Olson R, Fang CT, Stoesser N, Miller M, MacDonald U, Hutson A, Barker JH, La Hoz RM, Johnson JR: Identification of Biomarkers for Differentiation of Hypervirulent Klebsiella pneumoniae from Classical K. pneumoniae. J Clin Microbiol 2018, 56(9).
4.Sato S, Aoyama T, Uejima Y, Furuichi M, Suganuma E, Takano T, Ikeda M, Mizoguchi M, Okugawa S, Moriya K et al: Pyogenic liver abscess due to hypervirulent Klebsiella pneumoniae in a 14-year-old boy. J Infect Chemother 2019, 25(2):137-140.
5.Sanchez-Lopez J, Garcia-Caballero A, Navarro-San Francisco C, Quereda C, Ruiz-Garbajosa P, Navas E, Dronda F, Morosini MI, Canton R, Diez-Aguilar M: Hypermucoviscous Klebsiella pneumoniae: A challenge in community acquired infection. IDCases 2019, 17:e00547.
6.Van Keer J, Van Keer K, Van Calster J, Derdelinckx I: More Than Meets the Eye: Klebsiella pneumoniae Invasive Liver Abscess Syndrome Presenting with Endophthalmitis. J Emerg Med 2017, 52(6):e221-e223.
本网站内容转载须联系版权方授权。
支持单位:拜耳医药保健有限公司
