老年男性,高血压、脑梗及呛咳史。病程 3 个月,咳嗽,咳砖红色胶冻样痰,气短进行性加重,不发热。肺部 CT 提示双上肺为主的磨玻璃影,外周血白细胞和中性粒细胞计数稍增高。多次痰涂片为革兰阴性菌,肺泡灌洗液培养肺炎克雷伯菌。是肺炎克雷伯菌肺炎吗?临床症状、微生物结果和治疗反应对这个问题给出了答案。
患者男性,62 岁,退休工人。因「间断咳嗽 3 月余,加重伴气短 1 月入院」。
3 月前,患者无明显诱因出现咳嗽,咳白色胶冻样痰,每天约 15-20 毫升,无发热,无胸闷气短,无乏力盗汗,自服抗感染药物,未见明显好转及加重,未引起患者充分注意。1 月前,患者自觉咳嗽症状较前加重,仍咳胶冻样痰,痰偶呈淡红色,伴气短,活动后尤为明显,与闻刺激性气味无关,与体位无关,无夜间阵发性呼吸困难,无发热,就诊于当地医院,行胸部 CT 检查,提示双肺磨玻璃样改变,右肺较为明显,查血常规提示外周血白细胞和中性粒细胞计数稍增高,分别给予阿奇霉素、左氧氟沙星及头孢类抗生素静点,患者自觉咳嗽症状稍有好转,仍有气短,为进一步诊治入我院。既往史:有高血压病史 10 余年,2 年前有脑梗塞病史,偶有进水呛咳。
入院查体:T36.6℃,HR86 次/分,RR18 次/分,BP140/80 mmHg。双肺呼吸音粗,右肺可闻及湿性罗音。
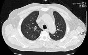
诊治体会:患者老年男性,慢性病程,主要表现为咳嗽、活动后气短,胸部 CT(图 1)
图 1: 治疗前胸部 CT


主要表现为磨玻璃样渗出,且上肺较下肺明显,无发热表现。入院初期我们考虑最多的是弥漫性实质性肺疾病,根据上述特点,过敏性肺炎是我们最先考虑的疾病,同时需要和其他类型的间质性肺疾病及感染性疾病进行鉴别。行气管镜检查,肺泡灌洗液(BALF)细胞计数分类不符合过敏性肺炎特点(中性粒细胞为主,而不是淋巴细胞为主),经支气管镜肺活检(TBLB)病理结果也未见典型肉芽肿样改变,因此,过敏性肺炎诊断依据不足。同时没有风湿病相关症状体征,免疫相关检查均为阴性,因此除外结缔组织病继发肺部病变可能。没有结核中毒症状,BALF 和痰涂片抗酸染色及核酸检测阴性,PPD、T-spot-TB 阴性,因此除外肺结核。病毒及支原体、衣原体、军团菌下呼吸道分泌物核酸检测阴性,除外病毒及非典型病原体感染。痰脱落细胞、肺组织病理、血肿瘤标记物检测阴性,除外恶性肿瘤。
正当我们一筹莫展的之际,肺泡灌洗液培养回报:肺炎克雷伯菌。是致病菌吗?这是我们拿到结果后面临的第一个问题。患者无发热,胸部 CT 表现为磨玻璃影(图 1),不像典型的细菌性肺炎。患者每日咳出的砖红色胶冻样痰(图 2)是再次吸引我们的注意力,反复多次留取痰标本涂片均提示革兰氏阴性杆菌,似乎与肺泡灌洗液培养吻合。
图 2: 收集在痰盒里的砖红色胶冻样痰

治疗和转归:尽管充满疑虑,我们还是依据肺泡灌洗液培养结果选择哌拉西林/他唑巴坦静点,抗感染治疗 1 周后,患者咳砖红色胶冻样痰次数明显减少,自觉气短症状明显好转。2 周后,咳嗽、咳痰症状消失,未诉气短,复查胸部 CT(图 3),两肺磨玻璃样渗出较前明显吸收。
图 3: 治疗 2 周后胸部 CT


至此,我们根据 BALF 培养结果,患者临床表现,以及对治疗的反应诊断为肺炎克雷伯菌肺炎。
经验和教训:我们对于肺炎克雷伯菌肺炎的典型印象多为寒战、高热、咳嗽、咳痰、胸痛和呼吸困难,可有发绀、气急、心悸,约半数患者有畏寒,寒战等毒血症表现。痰常呈粘稠脓性、量多、带血,可因血液和粘液混合而呈现砖红色痰。临床表现类似严重的肺炎链球菌肺炎。影像表现常呈多样性,常见肺叶实变、脓肿、叶间隙下坠等。从这个病例我们发现,肺炎克雷伯杆菌肺炎也可以表现温和,甚至无发热等典型感染中毒症状,至于影像学也绝非仅累及肺叶段的实变、脓肿,弥漫性磨玻璃样改变也可以是这类肺炎的影像学表现。尽早留取下呼吸道分泌物,明确病原学,依据药敏选择抗感染治疗方案,充足的抗感染治疗是这位患者病情能够得到良好控制的关键。
 
                         
         
                                             
                                             
                                             
                                            
 
            