【引言】老年女性,长期发热,漫长的就诊过程,辗转5家综合医疗机构,最终确诊血流感染(念珠菌),右心相关性感染性心内膜炎,播散性肺脓肿,肺血栓栓塞症。虽诊断明确,但结局让人惋惜。除了唏嘘患者的不幸外,该病例也提醒各级临床医生应对长期发热患者,应重视血培养检查,重视体格检查,梳理整体微生物或临床感染与微生物的理念,以病原学诊断为核心,复杂疾病综合救治的原则,寻求诊疗的最优解。当然,治疗过程中医生的坚持,医患的沟通,家庭、经济背景都在一定程度左右着临床决策。当然,本次案例仍存在不少需要讨论的地方,比如念珠菌血流感染的来源,比如对于念珠菌血流感染抗真菌药物选择问题,比如治疗过程中血栓与感染的关系等,亟待积累更多的临床经验来回答。
【病情介绍】
患者李XX,女,74岁,主因「发热伴咳嗽、咳痰5月余」于2018年4月21日入院。5月前(2017年12月初)受凉后出现发热,体温未测,以下午3点至夜间12点为主,体温可自行下降,发热反复。4月余前就诊于当地卫生所给予退热药物(具体不详)后出汗,皮温冰凉,仍未测体温,咳嗽、咳白痰,量多,伴胸闷、乏力,未诊治。2月前(2018年2月22日)仍发热,T 38.9℃,伴咳黄脓痰、胸痛、恶心、呕吐、厌食、双腹胀痛就诊于河南某医院。

查肺部CT示右下肺炎(图1),并胸腔积液,胸腔穿刺示:有核细胞数:876×10^6/L,中性粒细胞75%。诊断考虑肺部感染,肺炎旁胸腔积液;给予美洛西林钠舒巴坦3.75g q12h、左氧氟沙星0.4g qd、热毒宁、奥美拉唑、人血白蛋白对症治疗6天,体温正常。出院后4天患者再次发热,体温40.8℃,仍有咳嗽、咳白痰,伴胸闷、乏力就诊于当地人民医院给予异烟肼、利福平、左氧氟沙星治疗1周无好转。

后2018年3月转诊北京某医院,行肺动脉CTA(图2):双肺肺动脉栓塞,右侧脓胸伴叶间裂包裹性积液,左肺上叶舌段局部不张,双肺支气管壁增厚,多发小片灶及微小结节,左肺下叶后基底段小厚壁空洞考虑感染,心包积液。诊断考虑「肺栓塞,肺部感染,右侧胸腔积液,脓胸?」给予舒普深3.0g q8h×2d,泰能1.0g q12h×8d治疗,予低分子肝素抗凝,患者仍有发热,再次转诊第四家医院后复查胸部CT(图3)提示:右侧胸膜腔积气积液,考虑脓胸可能大,左侧少量胸腔积液,双肺炎症,冠脉钙化,心包少量积液。发热期间查G试验(+),3次痰培养回报光滑念珠菌,调整治疗为亚胺培南西司他丁钠联合氟康唑抗感染、继续低分子肝素抗凝。行血培养回报光滑念珠菌。2018年4月20日收入我科。近5月体重下降25Kg。

既往11年前右肾盂乳头状移行细胞癌G2PT(北京大学第一医院)右肾切除术。4年前高血压病史,具体服药不详,未规律测血压。3年前查出胆囊结石。2年前间断出现自发性鼻出血4次,最多出血400ml/次,可自行缓解。牙齿脱落明显。1年安贞医院诊断重症胰腺炎、急性肾衰竭、I型呼吸衰竭、急性肝损伤、急性胆囊炎、急性肠梗阻、十二指肠溃疡伴出血、电解质紊乱治疗后好转。
	入院诊断:(1)血流感染(光滑念珠菌)(2)脓气胸(3)肺栓塞(4)肾癌切除术后(5)高血压病3级,极高危(6)慢性肾功能不全。
	入院后给予哌拉西林他唑巴坦联合卡泊芬净抗感染治疗,同时完善检查示:白细胞总数3.95*109/L,中性粒细胞比例70.4%,HGB 70g/L;CRP>200mg/l,PCT 9.53ng/L,ESR 84mm/hr,Pro-BNP 12064pg/ml;血气分析示(吸氧浓度0.29):PH 7.52,PCO2 33mmHg,PO2 100mmHg,Lac 1.2mmol/L。2018.4.27和2018.5.2我院两次血培养示:光滑念珠菌 对氟康唑、伏立康唑、两性霉素B均敏感。T.B淋巴细胞亚群:CD3+ 543cell/ul,CD4+ 444cell/ul,CD8+ 118cell/ul。
	
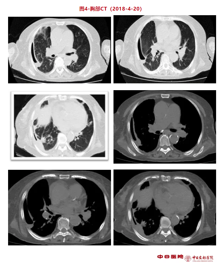
复查胸部CT(图4)示:目前肺内散在炎性病变,右侧胸膜增厚粘连,胸腔内积气积液。CTPA(图5)示:双肺动脉多发肺栓塞,肺动脉瓣略增厚,右侧液气胸,右侧胸膜增厚。经食道超声心动图示:心脏彩超:肺动脉瓣异常回声附着(41mm*7mm),血栓?赘生物?右心扩大、左房增大,室间隔增厚,主动脉硬化并反流(少量),三尖瓣反流(轻度),主肺动脉增宽,升主动脉增宽,肺动脉高压,心包积液(少量)。考虑肺动脉瓣感染性心内膜炎(IE)诊断明确。因患者为真菌性IE,且栓子直径大于10mm,合并肺栓塞,有手术指征,但患者家属因经济问题拒绝手术。之后更改为伏立康唑片 200mg bid治疗,患者体温大致正常,氧合好转,之后出院。
	图5-CTPA(2018-4-28)
	
【讨论】右心相关心内膜炎多发生于20~30岁的青壮年。病原菌50%~80%为金黄色葡萄球菌,其余尚有链球菌、真菌、革兰阴性菌等。三尖瓣受累占95%,其次为肺动脉瓣感染;右心相关心内膜炎的临床表现突出在肺部,至少70%的病人有化脓性栓子引起的肺栓塞或肺脓肿,咳嗽、胸痛、咯血、咳脓痰;X线检查可见肺部有多发性结节性浸润或空洞。肺脓肿可破入胸膜腔引起脓气胸。大面积肺栓塞、肺梗塞者可出现急性右心衰竭。因三尖瓣反流可闻及左侧胸骨旁短促的、吸气时增强的收缩期杂音、右心第3音,并有颈静脉充盈,可见肝颈搏动体征。RIE者少见脾肿大、血尿、肾功能衰竭和皮肤及其附属器的损害。
		肺动脉瓣(PV)感染性心内膜炎(IE)是一种罕见的疾病,仅占1.5%至2%的IE病例。克雷米厄斯等人报告了12例患者(11名男性,平均年龄34岁)的肺动脉瓣感染性心内膜炎观察结果。仅有4例患者没有慢性心脏病史、吸毒史或酒精中毒史,59%的患者有肺脓毒性栓子。金黄色葡萄球菌和链球菌是最常见的病原体。手术治疗四例,死亡4例。William R.报道9例肺动脉瓣感染性心内膜炎患者,年龄中位数为59岁,女性占比为22%。3例患者有先天性心脏病,中心静脉导管2例,起搏器或室内自动除颤仪植入患者3例。5例(56%)接受长期免疫抑制剂治疗。粪肠球菌和草绿色链球菌是最常见的病原菌,分离于22%的病例。
		图6-超声心动图(2018-4-29)
		
心脏彩超:肺动脉瓣异常回声附着(41mm*7mm),血栓?赘生物?右心扩大、左房增大,室间隔增厚,主动脉硬化并反流(少量),三尖瓣反流(轻度),主肺动脉增宽,升主动脉增宽,肺动脉高压,心包积液(少量)。
			经胸超声心动图(TTE)和经食管超声心动图(TEE)是最常见的诊断手段。4例患者行手术治疗。中位随访时间为1.8年。5例患者(56%)接受肺动脉瓣置换。无手术相关死亡病例。PIE预后较好,住院病死率小于10%。多数PIE内科药物治疗能治愈。一般认为,IE的手术适应证为:药物不能控制的败血症;药物难以控制的右心衰竭;瓣周脓肿;真菌性HIE;反复发生肺栓塞;合并左心感染性心内膜炎;栓子直径大于10mm且持续发热。本患者有强烈的手术适应症,但遗憾未能行手术治疗,最终因呼吸衰竭死亡。
			临床诊疗会遇到很多曲折经历,复杂疑难病例往往辗转数家医院,本例患者最终抽丝剥茧为罕见的右心相关性心内膜炎,念珠菌心内膜炎,治疗难度大,风险高。尽管最终治疗结局让人惋惜,但是对于复杂感染病例,寻求病原学,寻求血流感染溯源是诊疗中必须遵循的原则和核心,希望能建立全面的临床微生物思维,在早期识别疾病,为患者争取一些希望。
			参考文献:
				1、梁宗琦,王玉荣,王垚,罗韵,梁建东.桔黄赛多孢-一种潜在的致病有丝分裂产孢真菌. 微生物学通报, 2014. 10(41): 第2090−2093页.
				2、 Gilgado F, Cano J, GeneJ, et al. Molecular phylogeny of the Pseudallescheria boydii species complex:proposal of two new species[J]. Journal of Clinical Microbiology, 2005,43(10):4930-4942.
				3、 Harun A1, Serena C,Gilgado F, Chen SC, Meyer W. Scedosporium aurantiacum is as virulent as S.prolificans, and shows strain-specific virulence differences, in a mousemodel[J]. Medical Mycology Official Publication of the International Societyfor Human & Animal Mycology, 2010, 48 Suppl 1(4):S45-S51
				4、Nakamura Y1, Suzuki N,Nakajima Y, Utsumi Y, et al. Scedosporium aurantiacum brain abscess afternear-drowning in a survivor of a tsunami in Japan[J]. RespiratoryInvestigation, 2013, 51(4):207-11
				5、Kooijman CM1, Kampinga GA,de Hoog GS, et al. Successful treatment of Scedosporium aurantiacumosteomyelitis in an immunocompetent patient[J]. Surgical Infections, 2007,8(6):605-10
				6、Gilgado F, Serena C, CanoJ, Gené J, Guarro J. Antifungal susceptibilities of the species of thePseudallescheria boydii complex[J].Antimicrobial Agents & Chemotherapy,2006, 50(12):4211-3
			 
                         
         
                                             
                                             
                                             
                                            
 
            